提醒成功

搜索
Mouse Monoclonal Antibody to NF-KB p65
-
货号:
P20661 -
别名:
NFKB3; RELA; TF65; Transcription factor p65; p65; NFkB -
应用:
WB,IP,IHC -
反应种属:
Human,Mouse,Rat -
抗体类型:
Primary antibody -
Swissprot:
Q04206 -
规格:
-
数量:
-+ -
说明书:
目录价¥2180

Mouse Monoclonal Antibody to NF-KB p65
Description |
---|
NFKB1 (MIM 164011) or NFKB2 (MIM 164012) is bound to REL (MIM 164910), RELA, or RELB (MIM 604758) to form the NFKB complex. The p50 (NFKB1)/p65 (RELA) heterodimer is the most abundant form of NFKB. The NFKB complex is inhibited by I-kappa-B proteins (NFKBIA, MIM 164008 or NFKBIB, MIM 604495), which inactivate NFKB by trapping it in the cytoplasm. |
Specification |
|
---|---|
Aliases | NFKB3; RELA; TF65; Transcription factor p65; p65; NFkB |
Entrez GeneID | 5970 |
Swissprot | Q04206 |
clone | 5C5 |
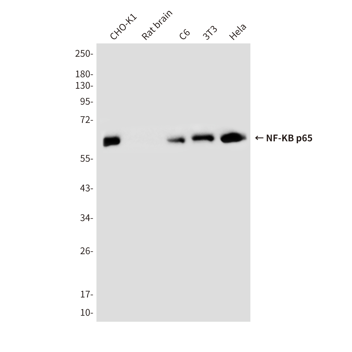
WB Predicted band size | Calculated MW: 60 kDa; Observed MW: 65 kDa |
Host/Isotype | Mouse IgG1 |
Antibody Type | Primary antibody |
Storage | Store at 4°C short term. Aliquot and store at -20°C long term. Avoid freeze/thaw cycles. |
Species Reactivity | Human,Mouse,Rat |
Immunogen | Synthetic Peptide of NFkB p65 |
Formulation | Purified antibody in PBS with 0.05% sodium azide,0.5%BSA and 50% glycerol. |
Application |
|
---|---|
WB | 1/500-1/1000 |
IP | 1/10-1/20 |
IHC | 1/50-1/100 |
Product Image
- Western blot analysis of NFκB p65 in Jurkat, MCF-7, SKBR3, Hela and 3T3 lysates using NFκB p65 antibody.
- Western blot analysis of NF-KB p65 in CHO-K1, rat brain, C6, 3T3, Hela lysates using NF-KB p65 antibody
- Immunoprecipitation analysis of NF-KB p65 in Hela lysates using NF-KB p65 antibody
- Immunohistochemistry analysis of paraffin-embedded mouse hippocampus using NFκB p65 antibody. High-pressure and temperature Sodium Citrate pH 6.0 was used for antigen retrieval.
For Reseach Only
Application Key:WB - Western Blot | IHC - Immunohistochemistry | ICC - Immunocytochemistry | FCM - Flow Cytometry | ELISA - Enzyme-linked Immunosorbent Assay | IP - Immunoprecipitation
#P20661

相关产品


