提醒成功

搜索
Mouse Monoclonal Antibody to RPS6
-
货号:
P20648 -
别名:
RPS6; OK/SW-cl.2; 40S ribosomal protein S6; Phosphoprotein NP33 -
应用:
WB,IP,IF -
反应种属:
Human,Mouse,Rat,Monkey -
抗体类型:
Primary antibody -
Swissprot:
P62753 -
规格:
-
数量:
-+ -
说明书:
目录价¥2180

Mouse Monoclonal Antibody to RPS6
Description |
---|
May play an important role in controlling cell growth and proliferation through the selective translation of particular classes of mRNA. |
Specification |
|
---|---|
Aliases | RPS6; OK/SW-cl.2; 40S ribosomal protein S6; Phosphoprotein NP33 |
Entrez GeneID | 6194 |
Swissprot | P62753 |
clone | 10A5 |
WB Predicted band size | Calculated MW: 29 kDa; Observed MW: 32 kDa |
Host/Isotype | Mouse IgG1 |
Antibody Type | Primary antibody |
Storage | Store at 4°C short term. Aliquot and store at -20°C long term. Avoid freeze/thaw cycles. |
Species Reactivity | Human,Mouse,Rat,Monkey |
Immunogen | Recombinant full length protein corresponding to human S6 Ribosomal Protein. |
Formulation | Purified antibody in PBS with 0.05% sodium azide,0.5%BSA and 50% glycerol. |
Application |
|
---|---|
WB | 1/500-1/1000 |
IP | 1/10-1/20 |
IF/ICC | 1/50-1/200 |
Product Image
- Western blot analysis of S6 Ribosomal Protein in Ramos, Jurkat, C6, 3T3 and Hela lysates using S6 Ribosomal Protein antibody.
- Western blot analysis of RPS6 in CHO-K1, Raji, Raw264.7 and COS7 lysates using RPS6 antibody
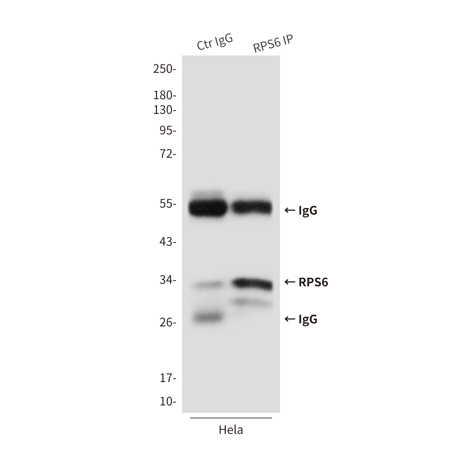
- Immunoprecipitation analysis of RPS6 in Hela lysates using S6 Ribosomal Protein antibody.
- Immunocytochemistry analysis of RPS6 in HeLa using S6 Ribosomal Protein antibody.
For Reseach Only
Application Key:WB - Western Blot | IHC - Immunohistochemistry | ICC - Immunocytochemistry | FCM - Flow Cytometry | ELISA - Enzyme-linked Immunosorbent Assay | IP - Immunoprecipitation
#P20648

相关产品


