提醒成功

搜索
Mouse Monoclonal Antibody to S100A4
-
货号:
P20643 -
别名:
18A2; 42A; calcium Placental protein; Calvasculin; CAPL; Fibroblast specific protein 1; Fibroblast specific protein; FSP1; Leukemia multidrug resistance associated protein; Malignant transformation suppression 1; Metastasin; MTS1; OTTHUMP00000015467; OTTHUMP00000015468; P9KA; PEL98; Placental calcium-binding protein; Protein Mts1; Protein S100 A4; Protein S100-A4; S100 calcium binding protein A4 (calcium protein; calvasculin; metastasin; murine placental homolog); S100 calcium binding protein A4; S100 calcium-binding protein A4; S100a4; S10A4_HUMAN. -
应用:
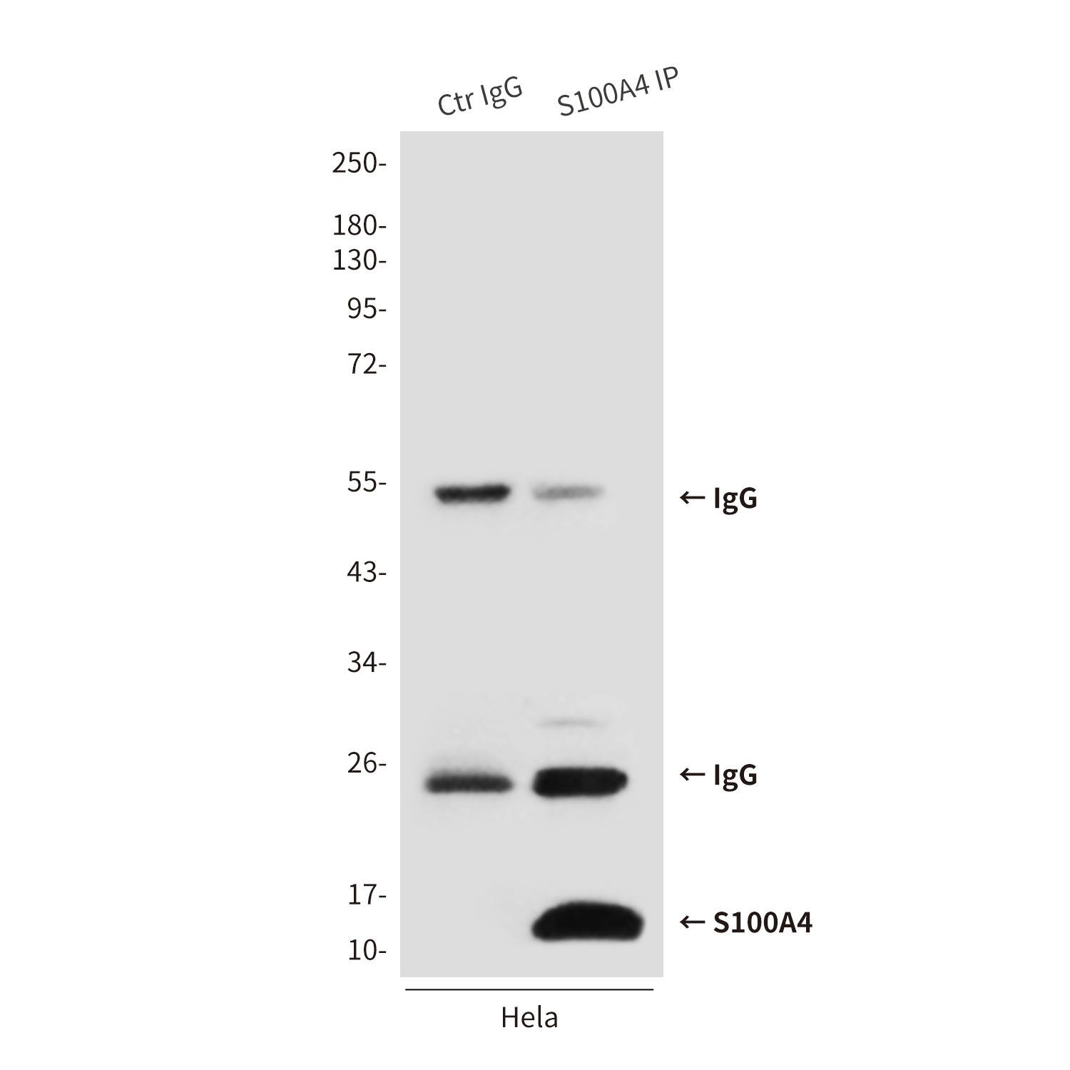
WB,IP -
反应种属:
Human -
抗体类型:
Primary antibody -
Swissprot:
P26447 -
规格:
-
数量:
-+ -
说明书:
目录价¥2180

Mouse Monoclonal Antibody to S100A4
Description |
---|
The protein encoded by this gene is a member of the S100 family of proteins containing 2 EF-hand calcium-binding motifs. This protein may function in motility, invasion, and tubulin polymerization. Chromosomal rearrangements and altered expression of this gene have been implicated in tumor metastasis. |
Specification |
|
---|---|
Aliases | 18A2; 42A; calcium Placental protein; Calvasculin; CAPL; Fibroblast specific protein 1; Fibroblast specific protein; FSP1; Leukemia multidrug resistance associated protein; Malignant transformation suppression 1; Metastasin; MTS1; OTTHUMP00000015467; OTTHUMP00000015468; P9KA; PEL98; Placental calcium-binding protein; Protein Mts1; Protein S100 A4; Protein S100-A4; S100 calcium binding protein A4 (calcium protein; calvasculin; metastasin; murine placental homolog); S100 calcium binding protein A4; S100 calcium-binding protein A4; S100a4; S10A4_HUMAN. |
Entrez GeneID | 6275 |
Swissprot | P26447 |
clone | 3G5 |
WB Predicted band size | Calculated MW: 12 kDa; Observed MW: 12 kDa |
Host/Isotype | Mouse IgG1 |
Antibody Type | Primary antibody |
Storage | Store at 4°C short term. Aliquot and store at -20°C long term. Avoid freeze/thaw cycles. |
Species Reactivity | Human |
Immunogen | Recombinant human S100A4 protein. |
Formulation | Purified antibody in PBS with 0.05% sodium azide,0.5%BSA and 50% glycerol. |
Application |
|
---|---|
WB | 1/500-1/1000 |
IP | 1/10-1/20 |
Product Image
For Reseach Only
Application Key:WB - Western Blot | IHC - Immunohistochemistry | ICC - Immunocytochemistry | FCM - Flow Cytometry | ELISA - Enzyme-linked Immunosorbent Assay | IP - Immunoprecipitation
#P20643

相关产品


