提醒成功

搜索
Mouse Monoclonal Antibody to MAP2
-
货号:
P20500 -
别名:
Microtubule associated protein 2; MAP2A; MAP2B; MAP2C -
应用:
IHC,IF -
反应种属:
Human,Mouse,Rat -
抗体类型:
Primary antibody -
Swissprot:
P11137 -
规格:
-
数量:
-+ -
说明书:
目录价¥2180

Mouse Monoclonal Antibody to MAP2
Description |
---|
The exact function of MAP2 is unknown but MAPs may stabilize the microtubules against depolymerization. They also seem to have a stiffening effect on microtubules. |
Specification |
|
---|---|
Aliases | Microtubule associated protein 2; MAP2A; MAP2B; MAP2C |
Entrez GeneID | 4133 |
Swissprot | P11137 |
clone | 3A5 |
Host/Isotype | Mouse IgG1 |
Antibody Type | Primary antibody |
Storage | Store at 4°C short term. Aliquot and store at -20°C long term. Avoid freeze/thaw cycles. |
Species Reactivity | Human,Mouse,Rat |
Immunogen | Synthetic Peptide of MAP2 |
Formulation | Purified antibody in PBS with 0.05% sodium azide,0.5%BSA and 50% glycerol. |
Application |
|
---|---|
IHC | 1/50-1/100 |
IF/ICC | 1/50-1/200 |
Product Image
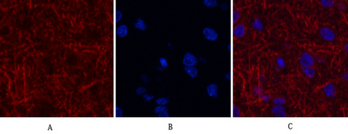
- Immunofluorescence analysis of MAP2 in mouse brain tissue using MAP2 antibody(7D4)(red),and DAPI (blue).
- Immunofluorescence analysis of MAP2 in rat brain using MAP2 antibody(7D4)(red) ,and DAPI (blue).
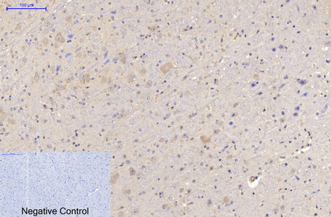
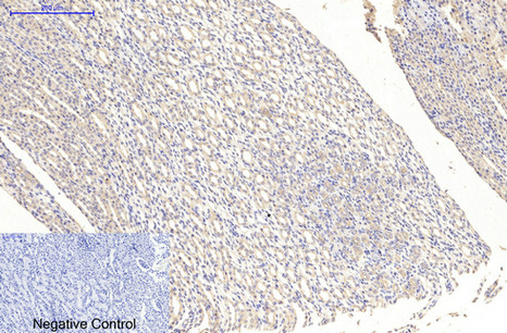
- Immunohistochemistry analysis of paraffin-embedded Human Tonsil tissue using MAP2 antibody.High-pressure and temperature Sodium Citrate pH 6.0 was used for antigen retrieval.Negative control was used by secondary antibody only.
- Immunohistochemical analysis of paraffin-embedded Human tonsils using MAP2 antibody.High-pressure and temperature Sodium Citrate pH 6.0 was used for antigen retrieval.Negative control was used by secondary antibody only.
- Immunohistochemistry analysis of paraffin-embedded mouse brain tissue using MAP2 antibody. High-pressure and temperature Sodium Citrate pH 6.0 was used for antigen retrieval. Negative control was used by secondary antibody only.
- Immunohistochemistry analysis of paraffin-embedded Human brain tissue using MAP2 antibody.High-pressure and temperature Sodium Citrate pH 6.0 was used for antigen retrieval.
For Reseach Only
Application Key:WB - Western Blot | IHC - Immunohistochemistry | ICC - Immunocytochemistry | FCM - Flow Cytometry | ELISA - Enzyme-linked Immunosorbent Assay | IP - Immunoprecipitation
#P20500

相关产品


