提醒成功

搜索
Mouse Monoclonal Antibody to Carcino Embryonic Antigen CEA
-
货号:
P20499 -
别名:
CEACAM5; CEA; Carcinoembryonic antigen-related cell adhesion molecule 5; Carcinoembryonic antigen; CEA; Meconium antigen 100; CD66e -
应用:
IHC,IF -
反应种属:
Human -
抗体类型:
Primary antibody -
Swissprot:
P06731 -
规格:
-
数量:
-+ -
说明书:
目录价¥2180

Mouse Monoclonal Antibody to Carcino Embryonic Antigen CEA
Description |
---|
Carcinoembryonic antigen (CEA), also known as CD66e or CEACAM5, is a 180-200 kDa cell surface glycoprotein whose expression is elevated in intestinal carcinomas and other tumors. CEA mediates cell adhesion, though little more is known about its biological activity. |
Specification |
|
---|---|
Aliases | CEACAM5; CEA; Carcinoembryonic antigen-related cell adhesion molecule 5; Carcinoembryonic antigen; CEA; Meconium antigen 100; CD66e |
Entrez GeneID | 1048 |
Swissprot | P06731 |
clone | 2C8 |
Host/Isotype | Mouse IgG1 |
Antibody Type | Primary antibody |
Storage | Store at 4°C short term. Aliquot and store at -20°C long term. Avoid freeze/thaw cycles. |
Species Reactivity | Human |
Immunogen | Synthetic Peptide of Carcinoembryonic Antigen |
Formulation | Purified antibody in PBS with 0.05% sodium azide,0.5%BSA and 50% glycerol. |
Application |
|
---|---|
IHC | 1/50-1/100 |
IF/ICC | 1/50-1/200 |
Product Image
- Immunofluorescence analysis of Carcino Embryonic Antigen CEA in Human lungcancer tissue using Carcino Embryonic Antigen CEA antibody(red),and DAPI (blue).
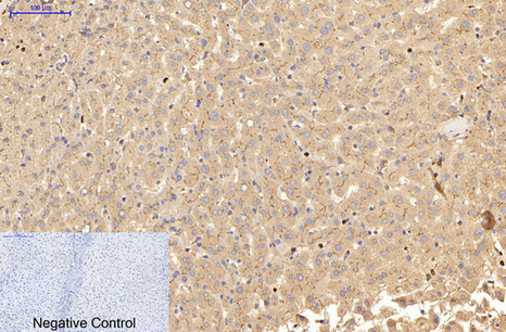
- Immunohistochemistry analysis of paraffin-embedded Human liver tissue using Carcino Embryonic Antigen CEA antibody.High-pressure and temperature Sodium Citrate pH 6.0 was used for antigen retrieval.Negative control was used by secondary antibody only.
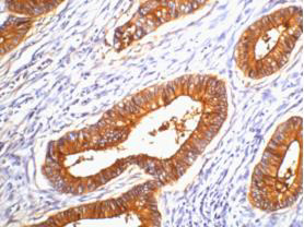
- Immunohistochemistry analysis of paraffin-embedded Human colon cancer tissue using Carcino Embryonic Antigen CEA antibody. High-pressure and temperature Sodium Citrate pH 6.0 was used for antigen retrieval.
For Reseach Only
Application Key:WB - Western Blot | IHC - Immunohistochemistry | ICC - Immunocytochemistry | FCM - Flow Cytometry | ELISA - Enzyme-linked Immunosorbent Assay | IP - Immunoprecipitation
#P20499

相关产品


