提醒成功

搜索
Mouse Monoclonal Antibody to CD68
-
货号:
P20497 -
别名:
CD68; Macrosialin; Gp110; CD68 -
应用:
IHC,IF -
反应种属:
Human,Mouse -
抗体类型:
Primary antibody -
Swissprot:
P34810 -
规格:
-
数量:
-+ -
说明书:
目录价¥2180

Mouse Monoclonal Antibody to CD68
Description |
---|
CD68 belongs to a family of acidic, highly glycosylated lysosomal glycoproteins (LGPs) that includes lamp-1 and lamp-2. Play a role in phagocytic activities of tissue macrophages, both in intracellular lysosomal metabolism and extracellular cell-cell and cell-pathogen interactions. |
Specification |
|
---|---|
Aliases | CD68; Macrosialin; Gp110; CD68 |
Entrez GeneID | 968 |
Swissprot | P34810 |
clone | 9H5 |
Host/Isotype | Mouse IgG1 |
Antibody Type | Primary antibody |
Storage | Store at 4°C short term. Aliquot and store at -20°C long term. Avoid freeze/thaw cycles. |
Species Reactivity | Human,Mouse |
Immunogen | Synthetic Peptide of CD68 |
Formulation | Purified antibody in PBS with 0.05% sodium azide,0.5%BSA and 50% glycerol. |
Application |
|
---|---|
IHC | 1/50-1/100 |
IF/ICC | 1/50-1/200 |
Product Image
- Immunofluorescence analysis of CD68 in Human lungcancer tissue using CD68 antibody(red)and DAPI (blue).
- Immunofluorescence analysis of CD68 in mouse spleen tissue using CD68 antibody(6F3)(red),and DAPI (blue).
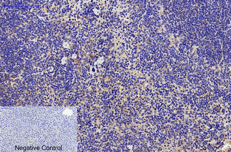
- Immunohistochemistry analysis of paraffin-embedded Human Tonsil tissue using CD68 antibody.High-pressure and temperature Sodium Citrate pH 6.0 was used for antigen retrieval.Negative control was used by secondary antibody only.
- Immunohistochemical analysis of paraffin-embedded Human tonsils using CD68 antibody.High-pressure and temperature Sodium Citrate pH 6.0 was used for antigen retrieval.Negative control was used by secondary antibody only.
- Immunohistochemistry analysis of paraffin-embedded Human tonsil tissue using CD68 antibody.High-pressure and temperature Sodium Citrate pH 6.0 was used for antigen retrieval.
For Reseach Only
Application Key:WB - Western Blot | IHC - Immunohistochemistry | ICC - Immunocytochemistry | FCM - Flow Cytometry | ELISA - Enzyme-linked Immunosorbent Assay | IP - Immunoprecipitation
#P20497

相关产品


