提醒成功
搜索
Mouse Monoclonal Antibody to APG5L
-
货号:
P20454 -
别名:
APG 5L; APG5; APG5 autophagy 5 like; APG5 like; APG5-like; Apoptosis specific protein; ASP; ATG 5; ATG5 autophagy related 5 homolog; Autophagy protein 5; hAPG5 -
应用:
WB,IHC -
反应种属:
Human,Mouse,Rat -
抗体类型:
Primary antibody -
Swissprot:
Q9H1Y0 -
规格:
-
数量:
-+ -
说明书:
目录价¥2180
Mouse Monoclonal Antibody to APG5L
Description |
|---|
Required for autophagy. Conjugates to ATG12 and associates with isolation membrane to form cup-shaped isolation membrane and autophagosome. Involved in mitochondrial quality control after oxidative damage, and in subsequent cellular longevity. |
Specification |
|
|---|---|
| Aliases | APG 5L; APG5; APG5 autophagy 5 like; APG5 like; APG5-like; Apoptosis specific protein; ASP; ATG 5; ATG5 autophagy related 5 homolog; Autophagy protein 5; hAPG5 |
| Entrez GeneID | 9474 |
| Swissprot | Q9H1Y0 |
| clone | 3C5 |
| WB Predicted band size | Calculated MW: 32 kDa; Observed MW: 55 kDa |
| Host/Isotype | Mouse IgG1 |
| Antibody Type | Primary antibody |
| Storage | Store at 4°C short term. Aliquot and store at -20°C long term. Avoid freeze/thaw cycles. |
| Species Reactivity | Human,Mouse,Rat |
| Immunogen | Purified recombinant protein expressed in E.coli. |
| Formulation | Purified antibody in PBS with 0.05% sodium azide,0.5%BSA and 50% glycerol. |
Application |
|
|---|---|
| WB | 1/500-1/1000 |
| IHC | 1/50-1/100 |
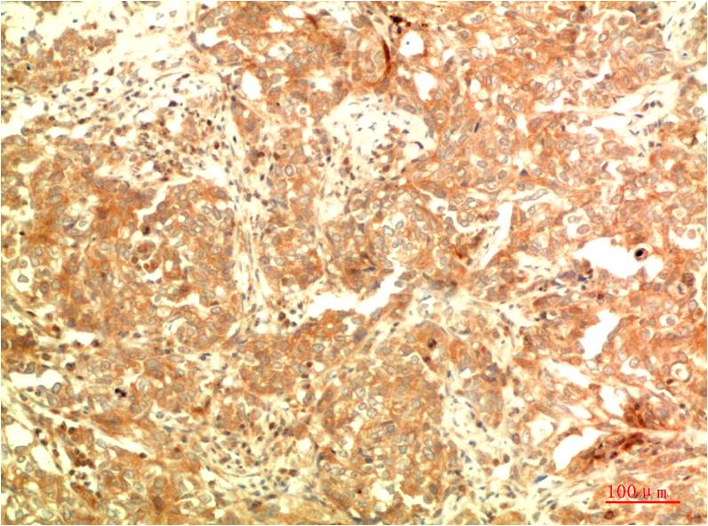
Product Image
- Western blot analysis of APG5L in C2C12, K562, C6, mouse brain lysates using APG5L antibody
- Immunohistochemistry analysis of paraffin-embedded Human Ovarian Carcinoma Tissue using APG5L antibody.High-pressure and temperature Sodium Citrate pH 6.0 was used for antigen retrieval.
- Immunohistochemical analysis of paraffin-embedded Human tonsils using APG5L antibody.High-pressure and temperature Sodium Citrate pH 6.0 was used for antigen retrieval.
For Reseach Only
Application Key:WB - Western Blot | IHC - Immunohistochemistry | ICC - Immunocytochemistry | FCM - Flow Cytometry | ELISA - Enzyme-linked Immunosorbent Assay | IP - Immunoprecipitation
#P20454
相关产品

微信/QQ登录


首页
