提醒成功
搜索
Mouse Monoclonal Antibody to Prealbumin
-
货号:
P20452 -
别名:
Prealbumin; TBPA; Amyloidosis I; Transthyretin -
应用:
WB,IHC -
反应种属:
Human -
抗体类型:
Primary antibody -
Swissprot:
P02766 -
规格:
-
数量:
-+ -
说明书:
目录价¥2180
Mouse Monoclonal Antibody to Prealbumin
Description |
|---|
Thyroid hormone-binding protein. Probably transports thyroxine from the bloodstream to the brain. |
Specification |
|
|---|---|
| Aliases | Prealbumin; TBPA; Amyloidosis I; Transthyretin |
| Entrez GeneID | 7276 |
| Swissprot | P02766 |
| clone | 2H8 |
| WB Predicted band size | Calculated MW: 16 kDa; Observed MW: 16 kDa |
| Host/Isotype | Mouse IgG1 |
| Antibody Type | Primary antibody |
| Storage | Store at 4°C short term. Aliquot and store at -20°C long term. Avoid freeze/thaw cycles. |
| Species Reactivity | Human |
| Immunogen | Purified recombinant protein expressed in E.coli. |
| Formulation | Purified antibody in PBS with 0.05% sodium azide,0.5%BSA and 50% glycerol. |
Application |
|
|---|---|
| WB | 1/500-1/1000 |
| IHC | 1/50-1/100 |
Product Image
- Western blot analysis of Prealbumin in Hela, Jurkat, mouse brain, MOLT4, Human serum lysates using Prealbumin antibody
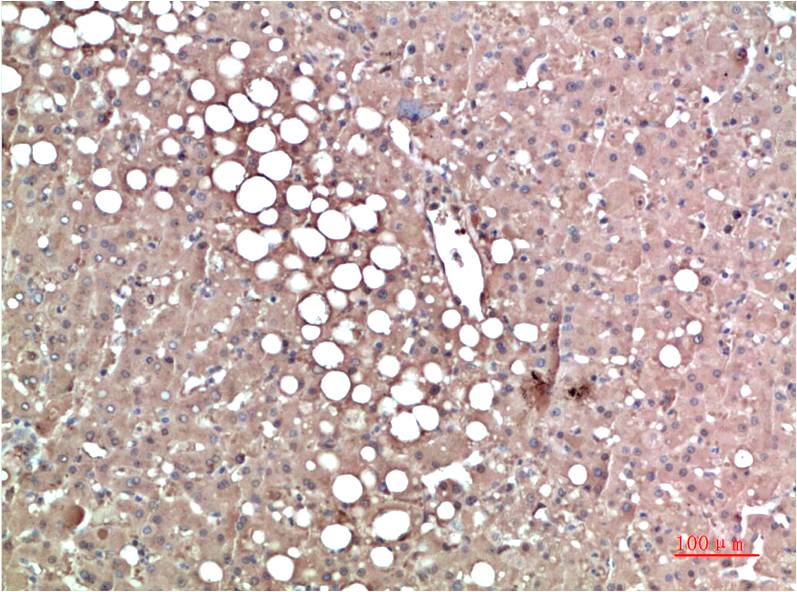
- Immunohistochemistry analysis of paraffin-embedded Human Liver Carcinoma Tissue using Prealbumin antibody.High-pressure and temperature Sodium Citrate pH 6.0 was used for antigen retrieval.
- Immunohistochemical analysis of paraffin-embedded Human tonsils using Prealbumin antibody.High-pressure and temperature Sodium Citrate pH 6.0 was used for antigen retrieval.
For Reseach Only
Application Key:WB - Western Blot | IHC - Immunohistochemistry | ICC - Immunocytochemistry | FCM - Flow Cytometry | ELISA - Enzyme-linked Immunosorbent Assay | IP - Immunoprecipitation
#P20452
相关产品

微信/QQ登录


首页
