提醒成功
搜索
Mouse Monoclonal Antibody to TGF beta 1
-
货号:
P20451 -
别名:
TGF beta 1; TGFB; CED; LAP -
应用:
WB,IHC -
反应种属:
Human,Mouse,Rat -
抗体类型:
Primary antibody -
Swissprot:
P01137 -
规格:
-
数量:
-+ -
说明书:
目录价¥2180
Mouse Monoclonal Antibody to TGF beta 1
Description |
|---|
Multifunctional protein that controls proliferation, differentiation and other functions in many cell types. Many cells synthesize TGFB1 and have specific receptors for it. It positively and negatively regulates many other growth factors. It plays an important role in bone remodeling as it is a potent stimulator of osteoblastic bone formation, causing chemotaxis, proliferation and differentiation in committed osteoblasts. |
Specification |
|
|---|---|
| Aliases | TGF beta 1; TGFB; CED; LAP |
| Entrez GeneID | 7040 |
| Swissprot | P01137 |
| clone | 9B7 |
| WB Predicted band size | Calculated MW: 44 kDa; Observed MW: 12,25,45-65 kDa |
| Host/Isotype | Mouse IgG1 |
| Antibody Type | Primary antibody |
| Storage | Store at 4°C short term. Aliquot and store at -20°C long term. Avoid freeze/thaw cycles. |
| Species Reactivity | Human,Mouse,Rat |
| Immunogen | Synthetic peptide conjugated to KLH. |
| Formulation | Purified antibody in PBS with 0.05% sodium azide,0.5%BSA and 50% glycerol. |
Application |
|
|---|---|
| WB | 1/500-1/1000 |
| IHC | 1/50-1/100 |
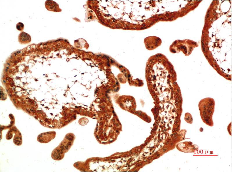
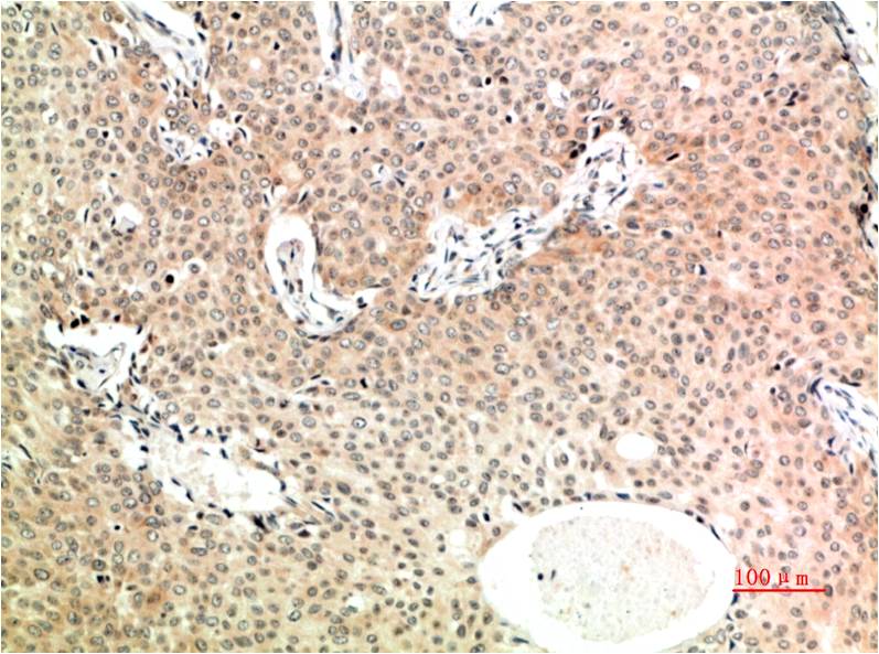
Product Image
- Western blot analysis of TGF beta 1 (8F6)in Hela lysates, mouse Liver lysates, rat Liver lysates using TGF&beta 1 antibody.
- Immunohistochemistry analysis of paraffin-embedded Human Breast Carcinoma Tissue using TGF beta 1 antibody.High-pressure and temperature Sodium Citrate pH 6.0 was used for antigen retrieval.
- Immunohistochemistry analysis of paraffin-embedded Human Placental Tissue using TGF beta 1 antibody. High-pressure and temperature Sodium Citrate pH 6.0 was used for antigen retrieval.
For Reseach Only
Application Key:WB - Western Blot | IHC - Immunohistochemistry | ICC - Immunocytochemistry | FCM - Flow Cytometry | ELISA - Enzyme-linked Immunosorbent Assay | IP - Immunoprecipitation
#P20451
相关产品

微信/QQ登录


首页
