提醒成功
搜索
Mouse Monoclonal Antibody to gamma Tubulin
-
货号:
P20449 -
别名:
TUBG1; TUBG; Tubulin gamma-1 chain; Gamma-1-tubulin; Gamma-tubulin complex component 1; GCP-1 -
应用:
WB,IHC -
反应种属:
Human,Mouse,Rat -
抗体类型:
Primary antibody -
Swissprot:
P23258 -
规格:
-
数量:
-+ -
说明书:
目录价¥2180
Mouse Monoclonal Antibody to gamma Tubulin
Description |
|---|
TUBG1 Tubulin is the major constituent of microtubules. Gamma tubulin is found at microtubule organizing centers (MTOC) such as the spindle poles or the centrosome. Pericentriolar matrix component that regulates alpha/beta tubulin minus-end nucleation, centrosome duplication and spindle formation. Interacts with GCP2 and GCP3. Interacts with B9D2. Interacts with CDK5RAP2; |
Specification |
|
|---|---|
| Aliases | TUBG1; TUBG; Tubulin gamma-1 chain; Gamma-1-tubulin; Gamma-tubulin complex component 1; GCP-1 |
| Entrez GeneID | 7283 |
| Swissprot | P23258 |
| clone | 6C5 |
| WB Predicted band size | Calculated MW: 51 kDa; Observed MW: 51 kDa |
| Host/Isotype | Mouse IgG1 |
| Antibody Type | Primary antibody |
| Storage | Store at 4°C short term. Aliquot and store at -20°C long term. Avoid freeze/thaw cycles. |
| Species Reactivity | Human,Mouse,Rat |
| Immunogen | Synthetic peptide conjugated to KLH. |
| Formulation | Purified antibody in PBS with 0.05% sodium azide,0.5%BSA and 50% glycerol. |
Application |
|
|---|---|
| WB | 1/500-1/1000 |
| IHC | 1/50-1/100 |
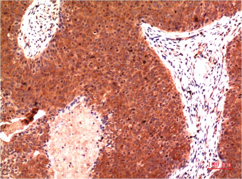
Product Image
- Western blot analysis of gamma Tubulin in Jurkat, C6 lysates using gamma Tubulin antibody
- Western blot analysis of gamma Tubulin in Hela, A549, HL-60, U2OS, C6 lysates using gamma Tubulin antibody.
- Immunohistochemical analysis of paraffin-embedded Human tonsils using gamma Tubulin antibody.High-pressure and temperature Sodium Citrate pH 6.0 was used for antigen retrieval.
- Immunohistochemistry analysis of paraffin-embedded Human Colon Carcinoma Tissue using gamma Tubulin antibody.High-pressure and temperature Sodium Citrate pH 6.0 was used for antigen retrieval.
For Reseach Only
Application Key:WB - Western Blot | IHC - Immunohistochemistry | ICC - Immunocytochemistry | FCM - Flow Cytometry | ELISA - Enzyme-linked Immunosorbent Assay | IP - Immunoprecipitation
#P20449
相关产品

微信/QQ登录


首页
