提醒成功

搜索
Mouse Monoclonal Antibody to Hydroxyacid Oxidase 1
-
货号:
P20438 -
别名:
Glycolate oxidase; GOX1; HAOX1; Hydroxyacid oxidase 1antibody; MGC142225; GOX -
应用:
WB,IHC,IF -
反应种属:
Mouse,Rat -
抗体类型:
Primary antibody -
Swissprot:
Q9UJM8 -
规格:
-
数量:
-+ -
说明书:
目录价¥2180

Mouse Monoclonal Antibody to Hydroxyacid Oxidase 1
Description |
---|
Has 2-hydroxyacid oxidase activity. Most active on the 2-carbon substrate glycolate, but is also active on 2-hydroxy fatty acids, with high activity towards 2-hydroxy palmitate and 2-hydroxy octanoate. |
Specification |
|
---|---|
Aliases | Glycolate oxidase; GOX1; HAOX1; Hydroxyacid oxidase 1antibody; MGC142225; GOX |
Entrez GeneID | 54363 |
Swissprot | Q9UJM8 |
clone | 7A7 |
WB Predicted band size | Calculated MW: 41 kDa; Observed MW: 41 kDa |
Host/Isotype | Mouse IgG |
Antibody Type | Primary antibody |
Storage | Store at 4°C short term. Aliquot and store at -20°C long term. Avoid freeze/thaw cycles. |
Species Reactivity | Mouse,Rat |
Immunogen | Recombinant Protein of HAO1 |
Formulation | Purified antibody in PBS with 0.05% sodium azide,0.5%BSA and 50% glycerol. |
Application |
|
---|---|
WB | 1/500-1/1000 |
IHC | 1/50-1/100 |
IF/ICC | 1/50-1/200 |
Product Image
- Western blot analysis of Hydroxyacid Oxidase 1 in mouse Liver, rat Liver lysates using HAO1 antibody.
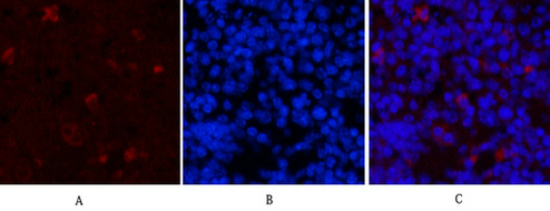
- Immunofluorescence analysis of Hydroxyacid Oxidase 1 in Human appendix using Hydroxyacid Oxidase 1 antibody(Mix)(red),and DAPI (blue).
- Immunofluorescence analysis of Hydroxyacid Oxidase 1 in mouse spleen using HAO1 antibody(Mix)(red) ,and DAPI (blue).
- Immunohistochemistry analysis of paraffin-embedded Human liver tissue using Hydroxyacid Oxidase 1 antibody.High-pressure and temperature Sodium Citrate pH 6.0 was used for antigen retrieval.Negative control was used by secondary antibody only.
- Immunohistochemistry analysis of paraffin-embedded Human tonsils using Hydroxyacid Oxidase 1 antibody.High-pressure and temperature Sodium Citrate pH 6.0 was used for antigen retrieval.Negative control was used by secondary antibody only.
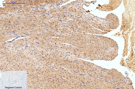
- Immunohistochemistry analysis of paraffin-embedded mouse heart tissue using HAO1 antibody. High-pressure and temperature Sodium Citrate pH 6.0 was used for antigen retrieval. Negative control was used by secondary antibody only.
For Reseach Only
Application Key:WB - Western Blot | IHC - Immunohistochemistry | ICC - Immunocytochemistry | FCM - Flow Cytometry | ELISA - Enzyme-linked Immunosorbent Assay | IP - Immunoprecipitation
#P20438

相关产品


