提醒成功

搜索
Mouse Monoclonal Antibody to CD5
-
货号:
P20385 -
别名:
CD5; LEU1; T-cell surface glycoprotein CD5; Lymphocyte antigen T1/Leu-1; CD antigen CD5 -
应用:
IHC -
反应种属:
Human,Mouse,Rat -
抗体类型:
Primary antibody -
Swissprot:
P06127 -
规格:
-
数量:
-+ -
说明书:
目录价¥2180

Mouse Monoclonal Antibody to CD5
Description |
---|
May act as a receptor in regulating T-cell proliferation. CD5 interacts with CD72/LYB-2. |
Specification |
|
---|---|
Aliases | CD5; LEU1; T-cell surface glycoprotein CD5; Lymphocyte antigen T1/Leu-1; CD antigen CD5 |
Entrez GeneID | 921 |
Swissprot | P06127 |
clone | 5H8 |
Host/Isotype | Mouse IgG1 |
Antibody Type | Primary antibody |
Storage | Store at 4°C short term. Aliquot and store at -20°C long term. Avoid freeze/thaw cycles. |
Species Reactivity | Human,Mouse,Rat |
Immunogen | Synthetic peptide conjugated to KLH. |
Formulation | Purified antibody in PBS with 0.05% sodium azide,0.5%BSA and 50% glycerol. |
Application |
|
---|---|
IHC | 1/50-1/100 |
Product Image
- Immunofluorescence analysis of CD5 in mouse heart tissue using CD5 antibody(10G8)(red),and DAPI (blue).
- Immunohistochemistry analysis of paraffin-embedded Human livercancer tissue using CD5 antibody.High-pressure and temperature Sodium Citrate pH 6.0 was used for antigen retrieval.Negative control was used by secondary antibody only.
- Immunohistochemical analysis of paraffin-embedded Human tonsils using CD5 antibody.High-pressure and temperature Sodium Citrate pH 6.0 was used for antigen retrieval.Negative control was used by secondary antibody only.
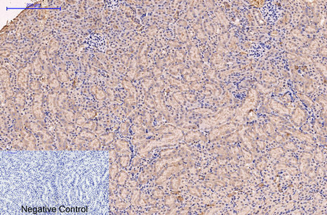
- Immunohistochemistry analysis of paraffin-embedded mouse kidney tissue using CD5 antibody. High-pressure and temperature Sodium Citrate pH 6.0 was used for antigen retrieval. Negative control was used by secondary antibody only.
- Immunohistochemistry analysis of paraffin-embedded Human Tonsil Caricnoma using CD5 antibody.High-pressure and temperature Sodium Citrate pH 6.0 was used for antigen retrieval.
For Reseach Only
Application Key:WB - Western Blot | IHC - Immunohistochemistry | ICC - Immunocytochemistry | FCM - Flow Cytometry | ELISA - Enzyme-linked Immunosorbent Assay | IP - Immunoprecipitation
#P20385

相关产品


