提醒成功

搜索
Mouse Monoclonal Antibody to CD4
-
货号:
P20384 -
别名:
CD4; T-cell surface glycoprotein CD4; T-cell surface antigen T4/Leu-3; CD antigen CD4 -
应用:
IHC -
反应种属:
Human,Mouse,Rat -
抗体类型:
Primary antibody -
Swissprot:
P01730 -
规格:
-
数量:
-+ -
说明书:
目录价¥2180

Mouse Monoclonal Antibody to CD4
Description |
---|
Cluster of Differentiation 4 (CD4) is a glycoprotein composed of an amino-terminal extracellular domain (four domains: D1-D4 with Ig-like structures), a transmembrane part and a short cytoplasmic tail. CD4 is expressed on the surface of T helper cells, regulatory T cells, monocytes, macrophages and dendritic cells, and plays an important role in the development and activation of T cells. On T cells, CD4 is the co-receptor for the T cell receptor (TCR), and these two distinct structures recognize the Antigen–Major Histocompatibility Complex (MHC). |
Specification |
|
---|---|
Aliases | CD4; T-cell surface glycoprotein CD4; T-cell surface antigen T4/Leu-3; CD antigen CD4 |
Entrez GeneID | 920 |
Swissprot | P01730 |
clone | 6B10 |
Host/Isotype | Mouse IgG1 |
Antibody Type | Primary antibody |
Storage | Store at 4°C short term. Aliquot and store at -20°C long term. Avoid freeze/thaw cycles. |
Species Reactivity | Human,Mouse,Rat |
Immunogen | Synthetic peptide conjugated to KLH. |
Formulation | Purified antibody in PBS with 0.05% sodium azide,0.5%BSA and 50% glycerol. |
Application |
|
---|---|
IHC | 1/50-1/100 |
Product Image
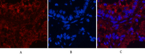
- Immunofluorescence analysis of CD4 in mouse colon tissue using CD4 antibody(11A1)(red),and DAPI (blue).
- Immunofluorescence analysis of CD4 in rat lung using CD4 antibody(11A1)(red),and DAPI (blue).
- Immunohistochemistry analysis of paraffin-embedded Human stomach tissue using CD4 antibody.High-pressure and temperature Sodium Citrate pH 6.0 was used for antigen retrieval.Negative control was used by secondary antibody only.
- Immunohistochemical analysis of paraffin-embedded Human tonsils using CD4 antibody.High-pressure and temperature Sodium Citrate pH 6.0 was used for antigen retrieval.Negative control was used by secondary antibody only.
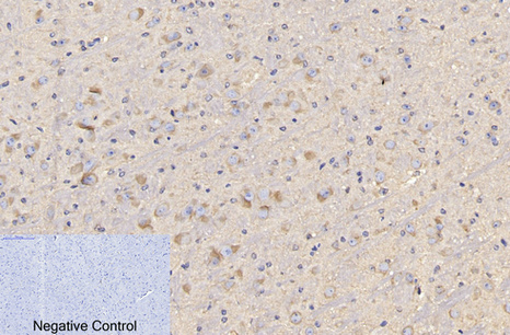
- Immunohistochemistry analysis of paraffin-embedded mouse brain tissue using CD4 antibody. High-pressure and temperature Sodium Citrate pH 6.0 was used for antigen retrieval. Negative control was used by secondary antibody only.
- Immunohistochemistry analysis of paraffin-embedded Human Amygdala using CD4 antibody.High-pressure and temperature Tris-EDTA pH 8.0 was used for antigen retrieval.
For Reseach Only
Application Key:WB - Western Blot | IHC - Immunohistochemistry | ICC - Immunocytochemistry | FCM - Flow Cytometry | ELISA - Enzyme-linked Immunosorbent Assay | IP - Immunoprecipitation
#P20384

相关产品


