提醒成功

搜索
Mouse Monoclonal Antibody to CD2
-
货号:
P20383 -
别名:
CD2; SRBC; T-cell surface antigen CD2; Erythrocyte receptor; LFA-2; LFA-3 receptor; Rosette receptor; T-cell surface antigen T11/Leu-5; CD2 -
应用:
IHC -
反应种属:
Human,Mouse,Rat -
抗体类型:
Primary antibody -
Swissprot:
P06729 -
规格:
-
数量:
-+ -
说明书:
目录价¥2180

Mouse Monoclonal Antibody to CD2
Description |
---|
CD2 interacts with lymphocyte function-associated antigen (LFA-3) and CD48/BCM1 to mediate adhesion between T-cells and other cell types. CD2 is implicated in the triggering of T-cells, the cytoplasmic domain is implicated in the signaling function. |
Specification |
|
---|---|
Aliases | CD2; SRBC; T-cell surface antigen CD2; Erythrocyte receptor; LFA-2; LFA-3 receptor; Rosette receptor; T-cell surface antigen T11/Leu-5; CD2 |
Entrez GeneID | 914 |
Swissprot | P06729 |
clone | 3H5 |
Host/Isotype | Mouse IgG1 |
Antibody Type | Primary antibody |
Storage | Store at 4°C short term. Aliquot and store at -20°C long term. Avoid freeze/thaw cycles. |
Species Reactivity | Human,Mouse,Rat |
Immunogen | Synthetic peptide conjugated to KLH. |
Formulation | Purified antibody in PBS with 0.05% sodium azide,0.5%BSA and 50% glycerol. |
Application |
|
---|---|
IHC | 1/50-1/100 |
Product Image
- Immunohistochemistry analysis of paraffin-embedded Human colon tissue using CD2 antibody.High-pressure and temperature Sodium Citrate pH 6.0 was used for antigen retrieval.Negative control was used by secondary antibody only.
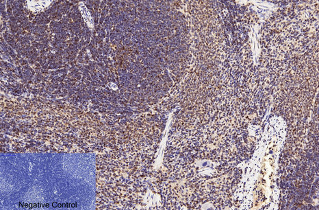
- Immunohistochemical analysis of paraffin-embedded Human tonsils using CD2 antibody.High-pressure and temperature Sodium Citrate pH 6.0 was used for antigen retrieval.Negative control was used by secondary antibody only.
- Immunohistochemistry analysis of paraffin-embedded mouse spleen tissue using CD2 antibody. High-pressure and temperature Sodium Citrate pH 6.0 was used for antigen retrieval. Negative control was used by secondary antibody only.
- Immunohistochemistry analysis of paraffin-embedded Human Tonsil Caricnoma using CD2 antibody.High-pressure and temperature Sodium Citrate pH 6.0 was used for antigen retrieval.
For Reseach Only
Application Key:WB - Western Blot | IHC - Immunohistochemistry | ICC - Immunocytochemistry | FCM - Flow Cytometry | ELISA - Enzyme-linked Immunosorbent Assay | IP - Immunoprecipitation
#P20383

相关产品


