提醒成功

搜索
Mouse Monoclonal Antibody to CD1a
-
货号:
P20382 -
别名:
CD1A; T-cell surface glycoprotein CD1a; T-cell surface antigen T6/Leu-6; hTa1 thymocyte antigen; CD antigen CD1a -
应用:
IHC -
反应种属:
Human,Mouse,Rat -
抗体类型:
Primary antibody -
Swissprot:
P06126 -
规格:
-
数量:
-+ -
说明书:
目录价¥2180

Mouse Monoclonal Antibody to CD1a
Description |
---|
Antigen-presenting protein that binds self and non-self lipid and glycolipid antigens and presents them to T-cell receptors on natural killer T-cells. |
Specification |
|
---|---|
Aliases | CD1A; T-cell surface glycoprotein CD1a; T-cell surface antigen T6/Leu-6; hTa1 thymocyte antigen; CD antigen CD1a |
Entrez GeneID | 909 |
Swissprot | P06126 |
clone | 7D4 |
Host/Isotype | Mouse IgG1 |
Antibody Type | Primary antibody |
Storage | Store at 4°C short term. Aliquot and store at -20°C long term. Avoid freeze/thaw cycles. |
Species Reactivity | Human,Mouse,Rat |
Immunogen | Synthetic peptide conjugated to KLH. |
Formulation | Purified antibody in PBS with 0.05% sodium azide,0.5%BSA and 50% glycerol. |
Application |
|
---|---|
IHC | 1/50-1/100 |
Product Image
- Immunofluorescence analysis of CD1a in mouse heart tissue using CD1a antibody(9H6)(red),and DAPI (blue).
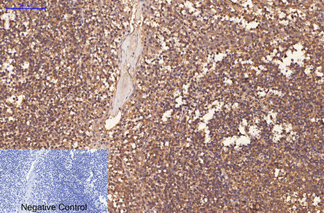
- Immunohistochemistry analysis of paraffin-embedded Human Tonsil tissue using CD1a antibody.High-pressure and temperature Sodium Citrate pH 6.0 was used for antigen retrieval.Negative control was used by secondary antibody only.
- Immunohistochemical analysis of paraffin-embedded Human tonsils using CD1a antibody.High-pressure and temperature Sodium Citrate pH 6.0 was used for antigen retrieval.Negative control was used by secondary antibody only.
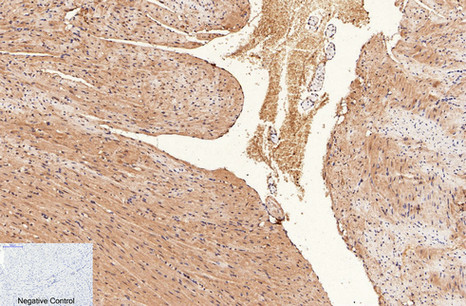
- Immunohistochemistry analysis of paraffin-embedded mouse heart tissue using CD1a antibody. High-pressure and temperature Sodium Citrate pH 6.0 was used for antigen retrieval. Negative control was used by secondary antibody only.
- Immunohistochemistry analysis of paraffin-embedded Human tonsils using CD1a antibody.High-pressure and temperature Sodium Citrate pH 6.0 was used for antigen retrieval.
For Reseach Only
Application Key:WB - Western Blot | IHC - Immunohistochemistry | ICC - Immunocytochemistry | FCM - Flow Cytometry | ELISA - Enzyme-linked Immunosorbent Assay | IP - Immunoprecipitation
#P20382

相关产品


