提醒成功

搜索
Mouse Monoclonal Antibody to Progesterone Receptor
-
货号:
P20381 -
别名:
PGR; NR3C3; Progesterone receptor; PR; Nuclear receptor subfamily 3 group C member 3 -
应用:
IHC,IF -
反应种属:
Human,Mouse,Rat -
抗体类型:
Primary antibody -
Swissprot:
P06401 -
规格:
-
数量:
-+ -
说明书:
目录价¥2180

Mouse Monoclonal Antibody to Progesterone Receptor
Description |
---|
Progesterone plays a central role in the reproductive events associated with the establishment and maintenance of pregnancy. Progesterone receptor, a member of the steroid receptor superfamily, mediates the physiologic effects of progesterone. |
Specification |
|
---|---|
Aliases | PGR; NR3C3; Progesterone receptor; PR; Nuclear receptor subfamily 3 group C member 3 |
Entrez GeneID | 5241 |
Swissprot | P06401 |
clone | 9F4 |
Host/Isotype | Mouse IgG1 |
Antibody Type | Primary antibody |
Storage | Store at 4°C short term. Aliquot and store at -20°C long term. Avoid freeze/thaw cycles. |
Species Reactivity | Human,Mouse,Rat |
Immunogen | Synthetic Peptide of PR |
Formulation | Purified antibody in PBS with 0.05% sodium azide,0.5%BSA and 50% glycerol. |
Application |
|
---|---|
IHC | 1/50-1/100 |
IF/ICC | 1/50-1/200 |
Product Image
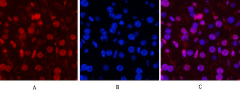
- Immunofluorescence analysis of Progesterone Receptor in Human appendix tissue using Progesterone Receptor antibody(Z15)(red),and DAPI (blue).
- Immunofluorescence analysis of Progesterone Receptor in mouse liver using PR antibody(Z15)(red),and DAPI (blue).
- Immunofluorescence analysis of Progesterone Receptor in rat heart using Progesterone Receptor antibody(red),and DAPI (blue).
- Immunohistochemistry analysis of paraffin-embedded Human uterus tissue using Progesterone Receptor antibody.High-pressure and temperature Sodium Citrate pH 6.0 was used for antigen retrieval.Negative control was used by secondary antibody only.
- Immunohistochemical analysis of paraffin-embedded Human tonsils using Progesterone Receptor antibody.High-pressure and temperature Sodium Citrate pH 6.0 was used for antigen retrieval.Negative control was used by secondary antibody only.
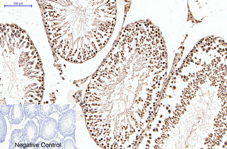
- Immunohistochemistry analysis of paraffin-embedded mouse testis tissue using PR antibody. High-pressure and temperature Sodium Citrate pH 6.0 was used for antigen retrieval. Negative control was used by secondary antibody only.
For Reseach Only
Application Key:WB - Western Blot | IHC - Immunohistochemistry | ICC - Immunocytochemistry | FCM - Flow Cytometry | ELISA - Enzyme-linked Immunosorbent Assay | IP - Immunoprecipitation
#P20381

相关产品


