提醒成功

搜索
Mouse Monoclonal Antibody to IL-2 Receptor alpha
-
货号:
P20380 -
别名:
IL2RA; Interleukin-2 receptor subunit alpha; IL-2 receptor subunit alpha; IL-2-RA; IL-2R subunit alpha; IL2-RA; TAC antigen; p55; CD25 -
应用:
IHC -
反应种属:
Human -
抗体类型:
Primary antibody -
Swissprot:
P01589 -
规格:
-
数量:
-+ -
说明书:
目录价¥2180

Mouse Monoclonal Antibody to IL-2 Receptor alpha
Description |
---|
Receptor for interleukin-2. |
Specification |
|
---|---|
Aliases | IL2RA; Interleukin-2 receptor subunit alpha; IL-2 receptor subunit alpha; IL-2-RA; IL-2R subunit alpha; IL2-RA; TAC antigen; p55; CD25 |
Entrez GeneID | 3559 |
Swissprot | P01589 |
Host/Isotype | Mouse IgG1 |
Antibody Type | Primary antibody |
Storage | Store at 4°C short term. Aliquot and store at -20°C long term. Avoid freeze/thaw cycles. |
Species Reactivity | Human |
Immunogen | Synthetic Peptide of CD25 |
Formulation | Purified antibody in PBS with 0.05% sodium azide,0.5%BSA and 50% glycerol. |
Application |
|
---|---|
IHC | 1/50-1/100 |
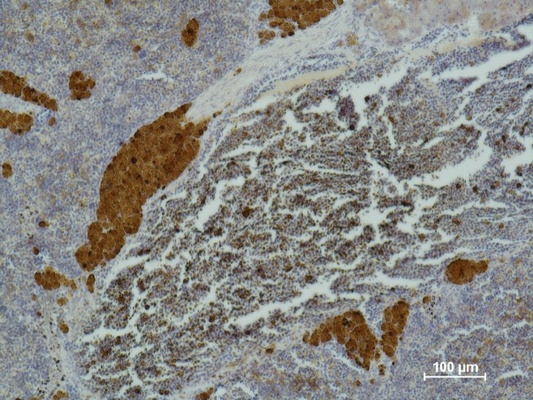
Product Image
- Immunohistochemistry analysis of paraffin-embedded Human liver tissue using IL-2 Receptor alpha antibody.High-pressure and temperature Sodium Citrate pH 6.0 was used for antigen retrieval.Negative control was used by secondary antibody only.
- Immunohistochemical analysis of paraffin-embedded Human tonsils using IL-2 Receptor alpha antibody.High-pressure and temperature Sodium Citrate pH 6.0 was used for antigen retrieval.
For Reseach Only
Application Key:WB - Western Blot | IHC - Immunohistochemistry | ICC - Immunocytochemistry | FCM - Flow Cytometry | ELISA - Enzyme-linked Immunosorbent Assay | IP - Immunoprecipitation
#P20380

相关产品


