提醒成功

搜索
Mouse Monoclonal Antibody to CD23
-
货号:
P20374 -
别名:
FCER2; CD23A; CLEC4J; FCE2; IGEBF; Low affinity immunoglobulin epsilon Fc receptor; BLAST-2; C-type lectin domain family 4 member J; Fc-epsilon-RII; Immunoglobulin E-binding factor; Lymphocyte IgE receptor; CD23 -
应用:
IHC,IF -
反应种属:
Human,Mouse,Rat -
抗体类型:
Primary antibody -
Swissprot:
P06734 -
规格:
-
数量:
-+ -
说明书:
目录价¥2180

Mouse Monoclonal Antibody to CD23
Description |
---|
This receptor has essential roles in the regulation of IgE production and in the differentiation of B-cells (it is a B-cell-specific antigen). |
Specification |
|
---|---|
Aliases | FCER2; CD23A; CLEC4J; FCE2; IGEBF; Low affinity immunoglobulin epsilon Fc receptor; BLAST-2; C-type lectin domain family 4 member J; Fc-epsilon-RII; Immunoglobulin E-binding factor; Lymphocyte IgE receptor; CD23 |
Entrez GeneID | 2208 |
Swissprot | P06734 |
clone | 10G2 |
Host/Isotype | Mouse IgG1 |
Antibody Type | Primary antibody |
Storage | Store at 4°C short term. Aliquot and store at -20°C long term. Avoid freeze/thaw cycles. |
Species Reactivity | Human,Mouse,Rat |
Immunogen | Synthetic Peptide of CD23 |
Formulation | Purified antibody in PBS with 0.05% sodium azide,0.5%BSA and 50% glycerol. |
Application |
|
---|---|
IHC | 1/50-1/100 |
IF/ICC | 1/50-1/200 |
Product Image
- Immunofluorescence analysis of CD23 in Human stomach using CD23 antibody(red),and DAPI (blue).
- Immunofluorescence analysis of CD23 in rat lung tissue using CD23 antibody(1E9)(red),and DAPI (blue).
- Immunohistochemistry analysis of paraffin-embedded Human lung tissue using CD23 antibody. High-pressure and temperature Sodium Citrate pH 6.0 was used for antigen retrieval. Negative control was used by secondary antibody only.
- Immunohistochemistry analysis of paraffin-embedded rat kidney tissue using CD23 antibody.High-pressure and temperature Sodium Citrate pH 6.0 was used for antigen retrieval.Negative control was used by secondary antibody only.
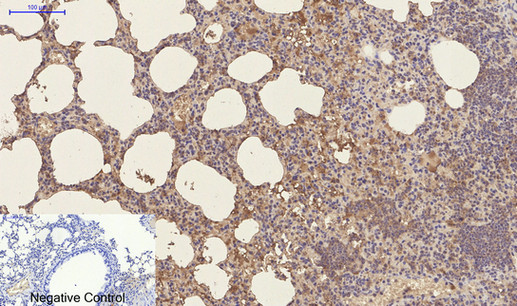
- Immunohistochemistry analysis of paraffin-embedded mouse lung tissue using CD23 antibody.High-pressure and temperature Sodium Citrate pH 6.0 was used for antigen retrieval. Negative control was used by secondary antibody only.
- Immunohistochemistry analysis of paraffin-embedded Human tonsil tissue using CD23 antibody.High-pressure and temperature Sodium Citrate pH 6.0 was used for antigen retrieval.
For Reseach Only
Application Key:WB - Western Blot | IHC - Immunohistochemistry | ICC - Immunocytochemistry | FCM - Flow Cytometry | ELISA - Enzyme-linked Immunosorbent Assay | IP - Immunoprecipitation
#P20374

相关产品


