提醒成功

搜索
Rabbit Polyclonal Antibody to Phospho-PKC epsilon (Ser729)
-
货号:
P20366 -
别名:
nPKC epsilon; PKCE; Pkcea; PRKCE; Protein kinase C epsilon; Protein kinase C epsilon type -
应用:
WB,IHC -
反应种属:
Human,Mouse,Rat -
抗体类型:
Primary antibody -
Swissprot:
Q02156 -
规格:
-
数量:
-+ -
说明书:
目录价¥1980

Rabbit Polyclonal Antibody to Phospho-PKC epsilon (Ser729)
Description |
---|
protein kinase C epsilon(PRKCE) Homo sapiens Protein kinase C (PKC) is a family of serine- and threonine-specific protein kinases that can be activated by calcium and the second messenger diacylglycerol. PKC family members phosphorylate a wide variety of protein targets and are known to be involved in diverse cellular signaling pathways. PKC family members also serve as major receptors for phorbol esters, a class of tumor promoters. Each member of the PKC family has a specific expression profile and is believed to play a distinct role in cells. The protein encoded by this gene is one of the PKC family members. |
Specification |
|
---|---|
Aliases | nPKC epsilon; PKCE; Pkcea; PRKCE; Protein kinase C epsilon; Protein kinase C epsilon type |
Entrez GeneID | 5581 |
Swissprot | Q02156 |
WB Predicted band size | Calculated MW: 84 kDa; Observed MW: 84 kDa |
Host/Isotype | Rabbit IgG |
Antibody Type | Primary antibody |
Storage | Store at 4°C short term. Aliquot and store at -20°C long term. Avoid freeze/thaw cycles. |
Species Reactivity | Human,Mouse,Rat |
Immunogen | Synthesized peptide derived from human PKC epsilon (Phospho-S729). AA range:688-737 |
Formulation | Purified antibody in PBS with 0.05% sodium azide,0.5%BSA and 50% glycerol. |
Application |
|
---|---|
WB | 1/500-1/1000 |
IHC | 1/50-1/100 |
ELISA | 1/10000 |
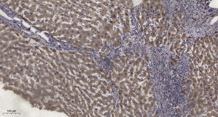
Product Image
- Western blot analysis of Phospho-PKC epsilon (Ser729) in HeLa lysates using Phospho-PKC epsilon (Ser729) antibody.
- Immunohistochemistry analysis of paraffin-embedded Human Liver Cancer using Phospho-PKC epsilon (Ser729) antibody. High-pressure and temperature Tris-EDTA pH 9.0 was used for antigen retrieval.
For Reseach Only
Application Key:WB - Western Blot | IHC - Immunohistochemistry | ICC - Immunocytochemistry | FCM - Flow Cytometry | ELISA - Enzyme-linked Immunosorbent Assay | IP - Immunoprecipitation
#P20366

相关产品


