提醒成功

搜索
Rabbit Polyclonal Antibody to Phospho-FRS2 (Tyr436)
-
货号:
P20317 -
别名:
Fibroblast growth factor receptor substrate 2; FGFR substrate 2; FGFR-signaling adaptor SNT; Suc1-associated neurotrophic factor target 1; SNT-1 -
应用:
WB,IHC -
反应种属:
Human -
抗体类型:
Primary antibody -
Swissprot:
Q8WU20 -
规格:
-
数量:
-+ -
说明书:
目录价¥1980

Rabbit Polyclonal Antibody to Phospho-FRS2 (Tyr436)
Description |
---|
Adapter protein that links FGR and NGF receptors to downstream signaling pathways. Involved in the activation of MAP kinases. Modulates signaling via SHC1 by competing for a common binding site on NTRK1. |
Specification |
|
---|---|
Aliases | Fibroblast growth factor receptor substrate 2; FGFR substrate 2; FGFR-signaling adaptor SNT; Suc1-associated neurotrophic factor target 1; SNT-1 |
Entrez GeneID | 10818 |
Swissprot | Q8WU20 |
WB Predicted band size | Calculated MW: 57 kDa; Observed MW: 65 kDa |
Host/Isotype | Rabbit IgG |
Antibody Type | Primary antibody |
Storage | Store at 4°C short term. Aliquot and store at -20°C long term. Avoid freeze/thaw cycles. |
Species Reactivity | Human |
Immunogen | Synthetic peptide of human FRS2 |
Formulation | Purified antibody in PBS with 0.05% sodium azide,0.5%BSA and 50% glycerol. |
Application |
|
---|---|
WB | 1/500-1/1000 |
IHC | 1/50-1/100 |
Product Image
- Western blot analysis of Phospho-FRS2 (Tyr436) in HUVEC lysates using Phospho-FRS2 (Tyr436) antibody.
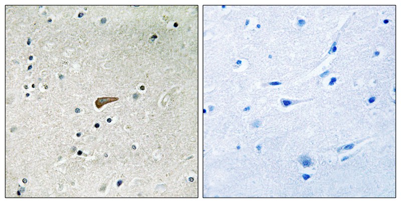
- Immunohistochemistry analysis of paraffin-embedded Human brain tissue using FRS2 (Phospho-Tyr436) antibody.High-pressure and temperature Sodium Citrate pH 6.0 was used for antigen retrieval. Sample with blocking peptide on the right.
For Reseach Only
Application Key:WB - Western Blot | IHC - Immunohistochemistry | ICC - Immunocytochemistry | FCM - Flow Cytometry | ELISA - Enzyme-linked Immunosorbent Assay | IP - Immunoprecipitation
#P20317

相关产品


