提醒成功

搜索
Rabbit Polyclonal Antibody to Phospho-Connexin 43 (Ser368)
-
货号:
P20312 -
别名:
Connexin 43; Connexin-43; Cx 43; Cx43; CXA1_HUMAN; DFNB38; Gap junction 43 kDa heart protein; Gap junction alpha-1 protein; Gap junction protein alpha 1 43kDa (connexin 43); Gap junction protein alpha 1 43kDa; Gap junction protein alpha like; GJA 1; Gja1; GJAL; ODD; ODDD; ODOD; SDTY3. -
应用:
WB,IHC -
反应种属:
Human,Mouse,Rat -
抗体类型:
Primary antibody -
Swissprot:
P17302 -
规格:
-
数量:
-+ -
说明书:
目录价¥1980

Rabbit Polyclonal Antibody to Phospho-Connexin 43 (Ser368)
Description |
---|
Gap junction protein that acts as a regulator of bladder capacity. |
Specification |
|
---|---|
Aliases | Connexin 43; Connexin-43; Cx 43; Cx43; CXA1_HUMAN; DFNB38; Gap junction 43 kDa heart protein; Gap junction alpha-1 protein; Gap junction protein alpha 1 43kDa (connexin 43); Gap junction protein alpha 1 43kDa; Gap junction protein alpha like; GJA 1; Gja1; GJAL; ODD; ODDD; ODOD; SDTY3. |
Entrez GeneID | 2697 |
Swissprot | P17302 |
WB Predicted band size | Calculated MW: 43 kDa; Observed MW: 43 kDa |
Host/Isotype | Rabbit IgG |
Antibody Type | Primary antibody |
Storage | Store at 4°C short term. Aliquot and store at -20°C long term. Avoid freeze/thaw cycles. |
Species Reactivity | Human,Mouse,Rat |
Immunogen | Synthetic peptide of human GJA1 |
Formulation | Purified antibody in PBS with 0.05% sodium azide,0.5%BSA and 50% glycerol. |
Application |
|
---|---|
WB | 1/500-1/1000 |
IHC | 1/50-1/100 |
Product Image
- Western blot analysis of Phospho-Connexin 43 (Ser368) in 293 lysates using Phospho-Connexin 43 (Ser368) antibody.
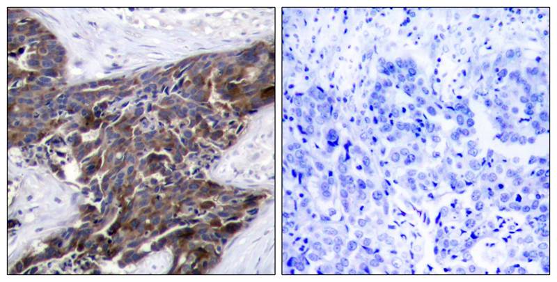
- Immunohistochemistry analysis of paraffin-embedded Human breast carcinoma tissue using Connexin 43 (Phospho-Ser368) antibody.High-pressure and temperature Sodium Citrate pH 6.0 was used for antigen retrieval. Sample with blocking peptide on the right.
For Reseach Only
Application Key:WB - Western Blot | IHC - Immunohistochemistry | ICC - Immunocytochemistry | FCM - Flow Cytometry | ELISA - Enzyme-linked Immunosorbent Assay | IP - Immunoprecipitation
#P20312

相关产品


