提醒成功
搜索
Rabbit Polyclonal Antibody to Phospho-HDAC5 (Ser498)
-
货号:
P20308 -
别名:
HD5; NY-CO-9 -
应用:
WB,IHC -
反应种属:
Human,Mouse -
抗体类型:
Primary antibody -
Swissprot:
Q9UQL6 -
规格:
-
数量:
-+ -
说明书:
目录价¥1980
Rabbit Polyclonal Antibody to Phospho-HDAC5 (Ser498)
Description |
|---|
Responsible for the deacetylation of lysine residues on the N-terminal part of the core histones (H2A, H2B, H3 and H4). Histone deacetylation gives a tag for epigenetic repression and plays an important role in transcriptional regulation, cell cycle progression and developmental events. Histone deacetylases act via the formation of large multiprotein complexes. Involved in muscle maturation by repressing transcription of myocyte enhancer MEF2C. During muscle differentiation, it shuttles into the cytoplasm, allowing the expression of myocyte enhancer factors. Involved in the MTA1-mediated epigenetic regulation of ESR1 expression in breast cancer. |
Specification |
|
|---|---|
| Aliases | HD5; NY-CO-9 |
| Entrez GeneID | 10014 |
| Swissprot | Q9UQL6 |
| WB Predicted band size | Calculated MW: 122 kDa; Observed MW: 122 kDa |
| Host/Isotype | Rabbit IgG |
| Antibody Type | Primary antibody |
| Storage | Store at 4°C short term. Aliquot and store at -20°C long term. Avoid freeze/thaw cycles. |
| Species Reactivity | Human,Mouse |
| Immunogen | Synthetic peptide of human HDAC5 |
| Formulation | Purified antibody in PBS with 0.05% sodium azide,0.5%BSA and 50% glycerol. |
Application |
|
|---|---|
| WB | 1/500-1/1000 |
| IHC | 1/50-1/100 |
Product Image
- Western blot analysis of Phospho-HDAC5 (Ser498) in 293 lysates using Phospho-HDAC5 (Ser498) antibody.
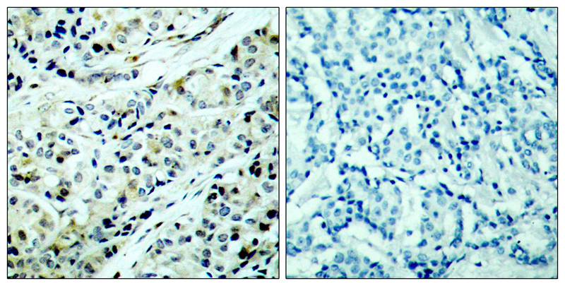
- Immunohistochemistry analysis of paraffin-embedded Human breast carcinoma tissue using HDAC5(Phospho-Ser498) antibody.High-pressure and temperature Sodium Citrate pH 6.0 was used for antigen retrieval. Sample with blocking peptide on the right.
For Reseach Only
Application Key:WB - Western Blot | IHC - Immunohistochemistry | ICC - Immunocytochemistry | FCM - Flow Cytometry | ELISA - Enzyme-linked Immunosorbent Assay | IP - Immunoprecipitation
#P20308
相关产品

微信/QQ登录


首页
