提醒成功
搜索
Rabbit Polyclonal Antibody to Phospho-B23 (Thr199)
-
货号:
P20296 -
别名:
B23; NPM -
应用:
WB,IHC,IF -
反应种属:
Human,Mouse,Rat -
抗体类型:
Primary antibody -
Swissprot:
P06748 -
规格:
-
数量:
-+ -
说明书:
目录价¥1980
Rabbit Polyclonal Antibody to Phospho-B23 (Thr199)
Description |
|---|
Involved in diverse cellular processes such as ribosome biogenesis, centrosome duplication, protein chaperoning, histone assembly, cell proliferation, and regulation of tumor suppressors p53/TP53 and ARF. Binds ribosome presumably to drive ribosome nuclear export. Associated with nucleolar ribonucleoprotein structures and bind single-stranded nucleic acids. Acts as a chaperonin for the core histones H3, H2B and H4. Stimulates APEX1 endonuclease activity on apurinic/apyrimidinic (AP) double-stranded DNA but inhibits APEX1 endonuclease activity on AP single-stranded RNA. May exert a control of APEX1 endonuclease activity within nucleoli devoted to repair AP on rDNA and the removal of oxidized rRNA molecules. In concert with BRCA2, regulates centrosome duplication. Regulates centriole duplication: phosphorylation by PLK2 is able to trigger centriole replication. Negatively regulates the activation of EIF2AK2/PKR and suppresses apoptosis through inhibition of EIF2AK2/PKR autophosphorylation. Antagonizes the inhibitory effect of ATF5 on cell proliferation and relieves ATF5-induced G2/M blockade (PubMed:22528486). In complex with MYC enhances the transcription of MYC target genes (PubMed:25956029). |
Specification |
|
|---|---|
| Aliases | B23; NPM |
| Entrez GeneID | 4869 |
| Swissprot | P06748 |
| WB Predicted band size | Calculated MW: 33 kDa; Observed MW: 33 kDa |
| Host/Isotype | Rabbit IgG |
| Antibody Type | Primary antibody |
| Storage | Store at 4°C short term. Aliquot and store at -20°C long term. Avoid freeze/thaw cycles. |
| Species Reactivity | Human,Mouse,Rat |
| Immunogen | The antiserum was produced against synthesized peptide derived from human NPM around the phosphorylation site of Thr199. AA range:171-220 |
| Formulation | Purified antibody in PBS with 0.05% sodium azide,0.5%BSA and 50% glycerol. |
Application |
|
|---|---|
| WB | 1/500-1/1000 |
| IHC | 1/50-1/100 |
| IF/ICC | 1/50-1/200 |
| ELISA | 1/10000 |
Product Image
- EnzymeLinked Immunosorbent Assay (Phospho-ELISA) for Immunogen Phospho-peptide (Phospho-left) and NonPhospho-peptide (Phospho-right), using NPM (Phospho-Thr19antibody
- Western blot analysis of Phospho-B23 (Thr199) in HepG2 lysates using Phospho-B23 (Thr199) antibody.The lane on the right is blocked with the synthesized peptide.
- Immunofluorescence analysis of Phospho-B23 (Thr199) in HeLa treated with EGF using Phospho-B23 (Thr199) antibody. The picture on the right is blocked with the Phospho- peptide.
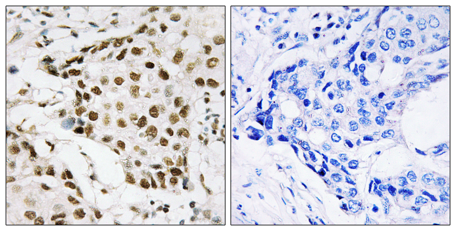
- Immunohistochemistry analysis of paraffin-embedded Human breast carcinoma using Phospho-B23 (Thr199) antibody. High-pressure and temperature Sodium Citrate pH 6.0 was used for antigen retrieval.Sample with blocking peptide on the right.
For Reseach Only
Application Key:WB - Western Blot | IHC - Immunohistochemistry | ICC - Immunocytochemistry | FCM - Flow Cytometry | ELISA - Enzyme-linked Immunosorbent Assay | IP - Immunoprecipitation
#P20296
相关产品

微信/QQ登录


首页
