提醒成功
搜索
Rabbit Polyclonal Antibody to Phospho-BRCA1 (Ser1423)
-
货号:
P20294 -
别名:
BRCA1; RNF53; Breast cancer type 1 susceptibility protein; RING finger protein 53 -
应用:
WB,IHC -
反应种属:
Human,Rat -
抗体类型:
Primary antibody -
Swissprot:
P38398 -
规格:
-
数量:
-+ -
说明书:
目录价¥1980
Rabbit Polyclonal Antibody to Phospho-BRCA1 (Ser1423)
Description |
|---|
E3 ubiquitin-protein ligase that specifically mediates the formation of 'Lys-6'-linked polyubiquitin chains and plays a central role in DNA repair by facilitating cellular responses to DNA damage. It is unclear whether it also mediates the formation of other types of polyubiquitin chains. The E3 ubiquitin-protein ligase activity is required for its tumor suppressor function. The BRCA1-BARD1 heterodimer coordinates a diverse range of cellular pathways such as DNA damage repair, ubiquitination and transcriptional regulation to maintain genomic stability. Regulates centrosomal microtubule nucleation. Required for normal cell cycle progression from G2 to mitosis. Required for appropriate cell cycle arrests after ionizing irradiation in both the S-phase and the G2 phase of the cell cycle. Involved in transcriptional regulation of P21 in response to DNA damage. Required for FANCD2 targeting to sites of DNA damage. May function as a transcriptional regulator. Inhibits lipid synthesis by binding to inactive phosphorylated ACACA and preventing its dephosphorylation. Contributes to homologous recombination repair (HRR) via its direct interaction with PALB2, fine-tunes recombinational repair partly through its modulatory role in the PALB2-dependent loading of BRCA2-RAD51 repair machinery at DNA breaks. Component of the BRCA1-RBBP8 complex which regulates CHEK1 activation and controls cell cycle G2/M checkpoints on DNA damage via BRCA1-mediated ubiquitination of RBBP8. Acts as a transcriptional activator (PubMed:20160719). |
Specification |
|
|---|---|
| Aliases | BRCA1; RNF53; Breast cancer type 1 susceptibility protein; RING finger protein 53 |
| Entrez GeneID | 672 |
| Swissprot | P38398 |
| WB Predicted band size | Calculated MW: 208 kDa; Observed MW: 208 kDa |
| Host/Isotype | Rabbit IgG |
| Antibody Type | Primary antibody |
| Storage | Store at 4°C short term. Aliquot and store at -20°C long term. Avoid freeze/thaw cycles. |
| Species Reactivity | Human,Rat |
| Immunogen | The antiserum was produced against synthesized peptide derived from human BRCA1 around the phosphorylation site of Ser1423. AA range:1391-1440 |
| Formulation | Purified antibody in PBS with 0.05% sodium azide,0.5%BSA and 50% glycerol. |
Application |
|
|---|---|
| WB | 1/500-1/1000 |
| IHC | 1/50-1/100 |
| ELISA | 1/10000 |
Product Image
- EnzymeLinked Immunosorbent Assay (Phospho-ELISA) for Immunogen Phospho-peptide (Phospho-left) and NonPhospho-peptide (Phospho-right), using BRCA1 (Phospho-Ser142antibody
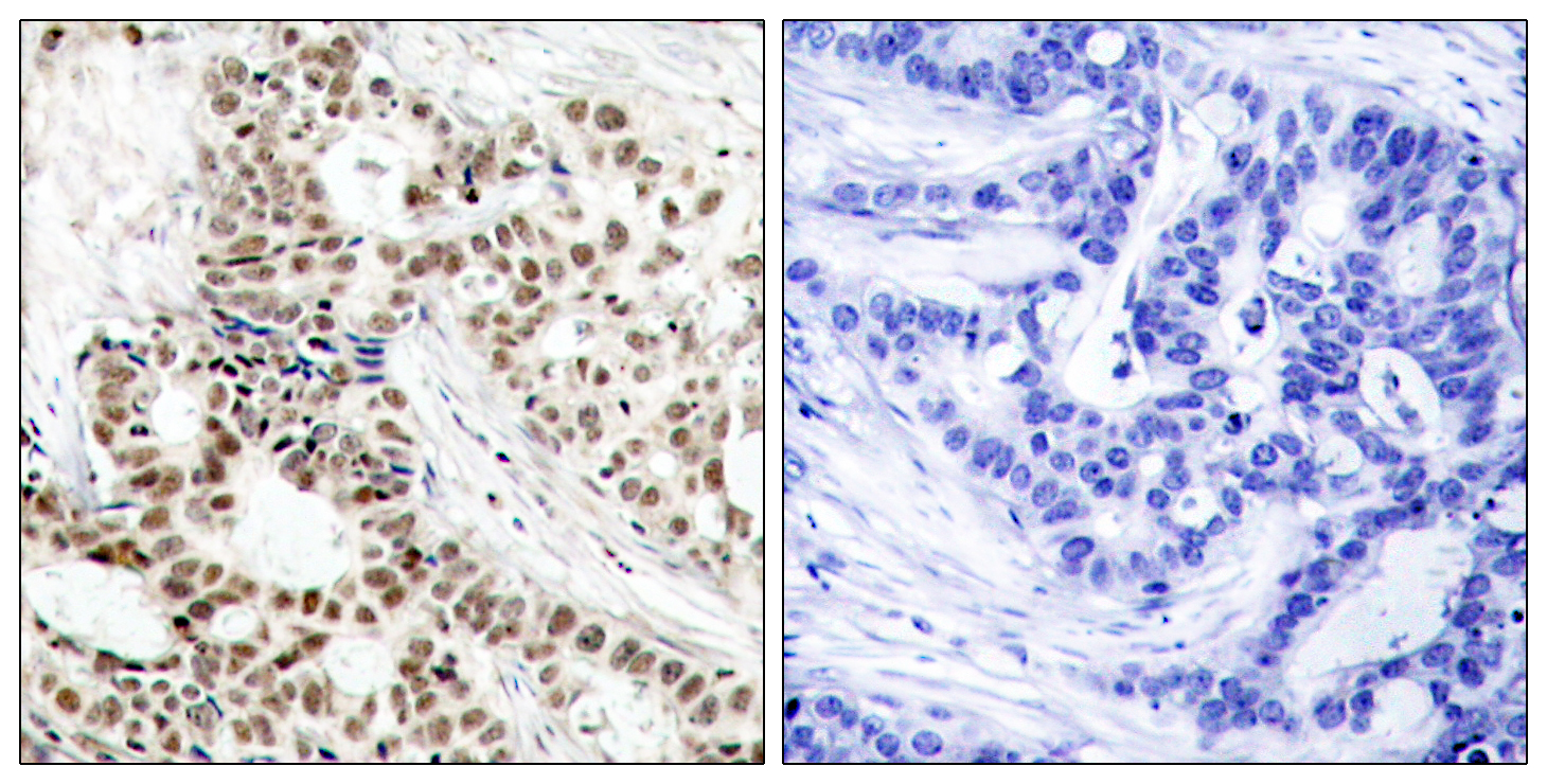
- Immunohistochemical analysis of paraffin-embedded Human tonsils using Phospho-BRCA1 (Ser1423) antibody. Sample with blocking peptide on the right.High-pressure and temperature Sodium Citrate pH 6.0 was used for antigen retrieval.
For Reseach Only
Application Key:WB - Western Blot | IHC - Immunohistochemistry | ICC - Immunocytochemistry | FCM - Flow Cytometry | ELISA - Enzyme-linked Immunosorbent Assay | IP - Immunoprecipitation
#P20294
相关产品

微信/QQ登录


首页
