提醒成功
搜索
Rabbit Polyclonal Antibody to Phospho-IRS1 (Ser639)
-
货号:
P20284 -
别名:
IRS1; Insulin receptor substrate 1; IRS-1 -
应用:
WB,IHC -
反应种属:
Human,Mouse,Rat -
抗体类型:
Primary antibody -
Swissprot:
P35568 -
规格:
-
数量:
-+ -
说明书:
目录价¥1980
Rabbit Polyclonal Antibody to Phospho-IRS1 (Ser639)
Description |
|---|
May mediate the control of various cellular processes by insulin. When phosphorylated by the insulin receptor binds specifically to various cellular proteins containing SH2 domains such as phosphatidylinositol 3-kinase p85 subunit or GRB2. Activates phosphatidylinositol 3-kinase when bound to the regulatory p85 subunit . |
Specification |
|
|---|---|
| Aliases | IRS1; Insulin receptor substrate 1; IRS-1 |
| Entrez GeneID | 3667 |
| Swissprot | P35568 |
| WB Predicted band size | Calculated MW: 132 kDa; Observed MW: 150 kDa |
| Host/Isotype | Rabbit IgG |
| Antibody Type | Primary antibody |
| Storage | Store at 4°C short term. Aliquot and store at -20°C long term. Avoid freeze/thaw cycles. |
| Species Reactivity | Human,Mouse,Rat |
| Immunogen | The antiserum was produced against synthesized peptide derived from human IRS-1 around the phosphorylation site of Ser639. AA range:605-654 |
| Formulation | Purified antibody in PBS with 0.05% sodium azide,0.5%BSA and 50% glycerol. |
Application |
|
|---|---|
| WB | 1/500-1/1000 |
| IHC | 1/50-1/100 |
| ELISA | 1/10000 |
Product Image
- Western blot analysis of Phospho-IRS1 (Ser639) in various lysates using Phospho-IRS1 (Ser639) antibody.
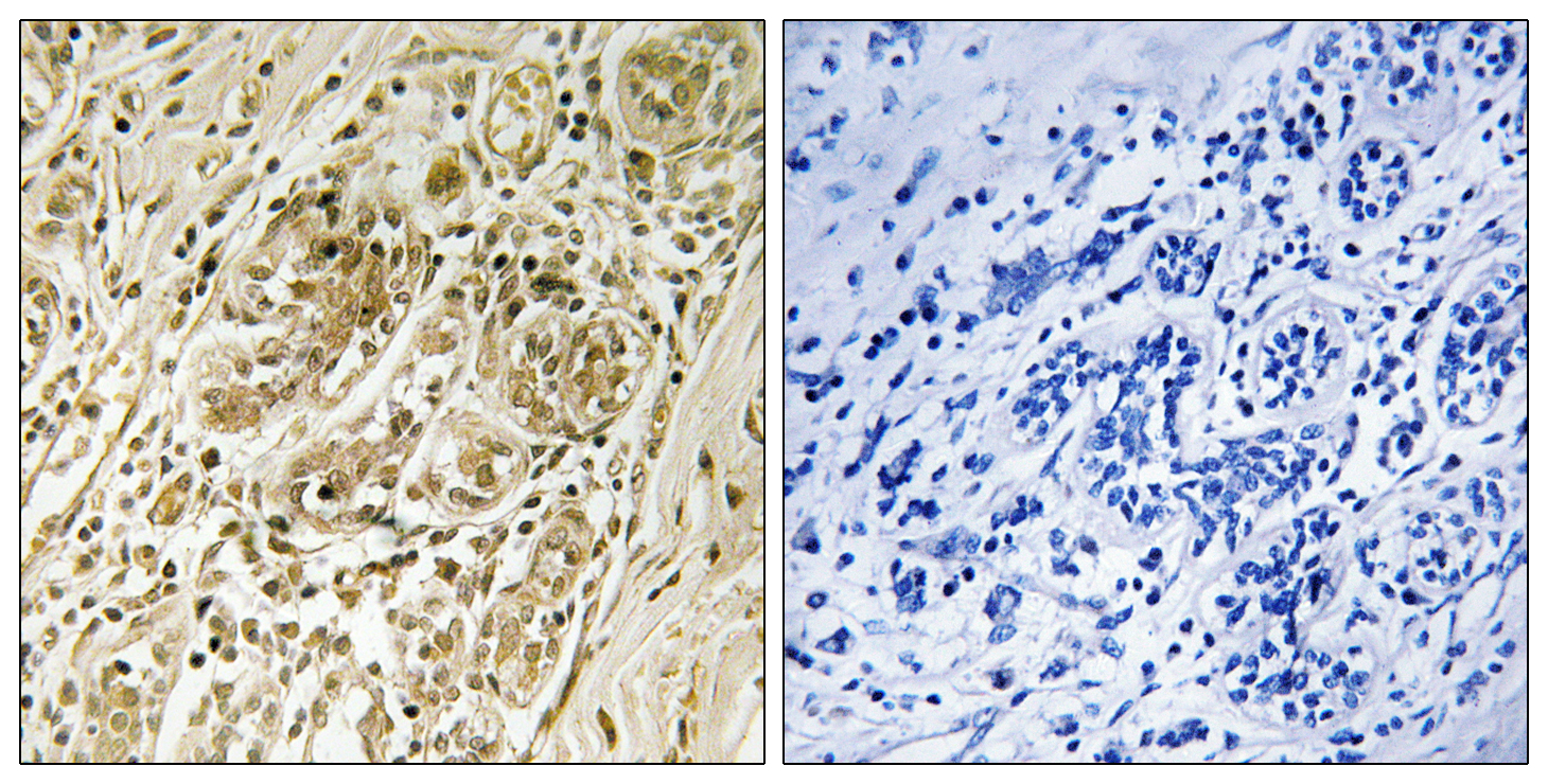
- Immunohistochemistry analysis of paraffin-embedded Human breast carcinoma, using IRS1 (Phospho-Ser639) antibody.High-pressure and temperature Sodium Citrate pH 6.0 was used for antigen retrieval. Sample with blocking peptide on the right.
For Reseach Only
Application Key:WB - Western Blot | IHC - Immunohistochemistry | ICC - Immunocytochemistry | FCM - Flow Cytometry | ELISA - Enzyme-linked Immunosorbent Assay | IP - Immunoprecipitation
#P20284
相关产品

微信/QQ登录


首页
