提醒成功
搜索
Rabbit Polyclonal Antibody to Phospho-EGFR (Tyr1092)
-
货号:
P20283 -
别名:
EGFR; ERBB; ERBB1; HER1; Epidermal growth factor receptor; Proto-oncogene c-ErbB-1; Receptor tyrosine-protein kinase erbB-1 -
应用:
WB,IHC -
反应种属:
Human,Mouse,Rat -
抗体类型:
Primary antibody -
Swissprot:
P00533 -
规格:
-
数量:
-+ -
说明书:
目录价¥1980
Rabbit Polyclonal Antibody to Phospho-EGFR (Tyr1092)
Description |
|---|
EGFR is a receptor tyrosine kinase. Receptor for epidermal growth factor (EGF) and related growth factors including TGF-alpha, amphiregulin, betacellulin, heparin-binding EGF-like growth factor, GP30 and vaccinia virus growth factor. Is involved in the control of cell growth and differentiation. . A single-pass transmembrane tyrosine kinase. Ligand binding to this receptor results in receptor dimerization, autophosphorylation (in trans), activation of various downstream signaling molecules and lysosomal degradation. |
Specification |
|
|---|---|
| Aliases | EGFR; ERBB; ERBB1; HER1; Epidermal growth factor receptor; Proto-oncogene c-ErbB-1; Receptor tyrosine-protein kinase erbB-1 |
| Entrez GeneID | 1956 |
| Swissprot | P00533 |
| WB Predicted band size | Calculated MW: 134 kDa; Observed MW: 140-160 kDa |
| Host/Isotype | Rabbit IgG |
| Antibody Type | Primary antibody |
| Storage | Store at 4°C short term. Aliquot and store at -20°C long term. Avoid freeze/thaw cycles. |
| Species Reactivity | Human,Mouse,Rat |
| Immunogen | The antiserum was produced against synthesized peptide derived from human EGFR around the phosphorylation site of Tyr1092. AA range:1061-1110 |
| Formulation | Purified antibody in PBS with 0.05% sodium azide,0.5%BSA and 50% glycerol. |
Application |
|
|---|---|
| WB | 1/500-1/1000 |
| IHC | 1/50-1/100 |
| ELISA | 1/10000 |
Product Image
- Western blot analysis of Phospho-EGFR (Tyr1092) in various lysates using Phospho-EGFR (Tyr1092) antibody.
- Western blot analysis of Phospho-EGFR (Tyr1092) in HUVEC lysates treated with EGF, using EGFR (Phospho-Tyr19, 2) antibody. The lane on the right is blocked with the Phospho- peptide.
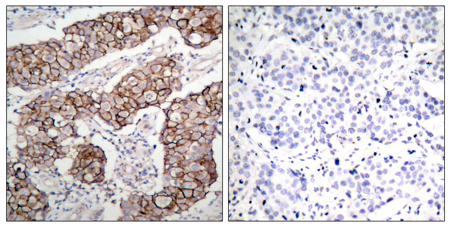
- Immunohistochemistry analysis of paraffin-embedded Human breast carcinoma, using EGFR (Phospho-Tyr109, 2) antibody.High-pressure and temperature Sodium Citrate pH 6.0 was used for antigen retrieval. Sample with blocking peptide on the right.
For Reseach Only
Application Key:WB - Western Blot | IHC - Immunohistochemistry | ICC - Immunocytochemistry | FCM - Flow Cytometry | ELISA - Enzyme-linked Immunosorbent Assay | IP - Immunoprecipitation
#P20283
相关产品

微信/QQ登录


首页
