提醒成功

搜索
Rabbit Polyclonal Antibody to Phospho-c-Jun (Ser63)
-
货号:
P20256 -
别名:
Transcription factor AP-1; Activator protein 1; AP1; Proto-oncogene c-Jun; V-jun avian sarcoma virus 17 oncogene homolog; p39 -
应用:
WB,IHC,IF -
反应种属:
Human,Mouse,Rat -
抗体类型:
Primary antibody -
Swissprot:
P05412 -
规格:
-
数量:
-+ -
说明书:
目录价¥1980

Rabbit Polyclonal Antibody to Phospho-c-Jun (Ser63)
Description |
---|
c-jun is a transcription factor that recognizes and binds to the enhancer heptamer motif 5'-TGA[CG]TCA-3'. Promotes activity of NR5A1 when phosphorylated by HIPK3 leading to increased steroidogenic gene expression upon cAMP signaling pathway stimulation. |
Specification |
|
---|---|
Aliases | Transcription factor AP-1; Activator protein 1; AP1; Proto-oncogene c-Jun; V-jun avian sarcoma virus 17 oncogene homolog; p39 |
Entrez GeneID | 3725 |
Swissprot | P05412 |
WB Predicted band size | Calculated MW: 36 kDa; Observed MW: 48 kDa |
Host/Isotype | Rabbit IgG |
Antibody Type | Primary antibody |
Storage | Store at 4°C short term. Aliquot and store at -20°C long term. Avoid freeze/thaw cycles. |
Species Reactivity | Human,Mouse,Rat |
Immunogen | A synthesized peptide derived from human Phospho-c-Jun (S63) |
Formulation | Purified antibody in PBS with 0.05% sodium azide. |
Application |
|
---|---|
WB | 1/500-1/1000 |
IHC | 1/50-1/100 |
IF/ICC | 1/50-1/200 |
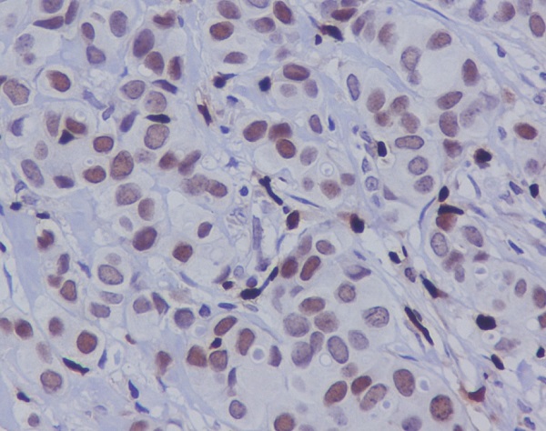
Product Image
- Western blot analysis of c-Jun Phosphorylation in NIH/3T3 lysates treated with Anisomycin using Phospho-c-Jun (Ser63) antibody.
- Immunofluorescence analysis of Phospho-c-Jun (Ser63) in HeLa treated with anisomycin using Phospho-c-Jun (S63) antibody.
- Immunohistochemistry analysis of paraffin-embedded Human breast carcinoma using Phospho-c-Jun (S63) antibody.High-pressure and temperature Sodium Citrate pH 6.0 was used for antigen retrieval.
For Reseach Only
Application Key:WB - Western Blot | IHC - Immunohistochemistry | ICC - Immunocytochemistry | FCM - Flow Cytometry | ELISA - Enzyme-linked Immunosorbent Assay | IP - Immunoprecipitation
#P20256

相关产品


