提醒成功

搜索
Rabbit Polyclonal Antibody to Phospho-STAT1 (Ser727)
-
货号:
P20246 -
别名:
STAT1; Signal transducer and activator of transcription 1-alpha/beta; Transcription factor ISGF-3 components p91/p84 -
应用:
WB,IHC -
反应种属:
Human,Mouse,Rat -
抗体类型:
Primary antibody -
Swissprot:
P42224 -
规格:
-
数量:
-+ -
说明书:
目录价¥1980

Rabbit Polyclonal Antibody to Phospho-STAT1 (Ser727)
Description |
---|
The protein encoded by this gene is a member of the STAT protein family. In response to cytokines and growth factors, STAT family members are phosphorylated by the receptor associated kinases, and then form homo- or heterodimers that translocate to the cell nucleus where they act as transcription activators. |
Specification |
|
---|---|
Aliases | STAT1; Signal transducer and activator of transcription 1-alpha/beta; Transcription factor ISGF-3 components p91/p84 |
Entrez GeneID | 6772 |
Swissprot | P42224 |
WB Predicted band size | Calculated MW: 87 kDa; Observed MW: 87 kDa |
Host/Isotype | Rabbit IgG |
Antibody Type | Primary antibody |
Storage | Store at 4°C short term. Aliquot and store at -20°C long term. Avoid freeze/thaw cycles. |
Species Reactivity | Human,Mouse,Rat |
Immunogen | A synthesized peptide derived from human Phospho-STAT1 (S727) |
Formulation | Purified antibody in PBS with 0.05% sodium azide. |
Application |
|
---|---|
WB | 1/500-1/1000 |
IHC | 1/50-1/100 |
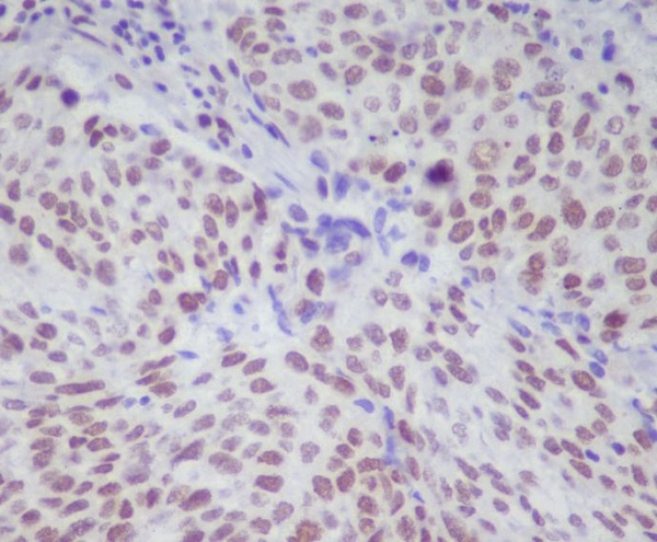
Product Image
- Western blot analysis of Phospho-STAT1 (S727) in HeLa lysates treated with etoposide using Phospho-STAT1 (Ser727) antibody.
- Immunohistochemistry analysis of paraffin-embedded Human lung cancer using Phospho-STAT1 (S727) antibody.High-pressure and temperature Sodium Citrate pH 6.0 was used for antigen retrieval.
For Reseach Only
Application Key:WB - Western Blot | IHC - Immunohistochemistry | ICC - Immunocytochemistry | FCM - Flow Cytometry | ELISA - Enzyme-linked Immunosorbent Assay | IP - Immunoprecipitation
#P20246

相关产品


