提醒成功

搜索
Rabbit Monoclonal Antibody to Phospho-Rad17 (Ser656)
-
货号:
P20198 -
别名:
RAD17; R24L; Cell cycle checkpoint protein RAD17; hRad17; RF-C/activator 1 homolog -
应用:
WB,IHC,IF -
反应种属:
Human -
抗体类型:
Primary antibody -
Swissprot:
O75943 -
规格:
-
数量:
-+ -
说明书:
目录价¥2180

Rabbit Monoclonal Antibody to Phospho-Rad17 (Ser656)
Description |
---|
Essential for sustained cell growth, maintenance of chromosomal stability, and ATR-dependent checkpoint activation upon DNA damage. |
Specification |
|
---|---|
Aliases | RAD17; R24L; Cell cycle checkpoint protein RAD17; hRad17; RF-C/activator 1 homolog |
Entrez GeneID | 5884 |
Swissprot | O75943 |
WB Predicted band size | Calculated MW: 77 kDa; Observed MW: 80 kDa |
Host/Isotype | Rabbit IgG |
Antibody Type | Primary antibody |
Storage | Store at 4°C short term. Aliquot and store at -20°C long term. Avoid freeze/thaw cycles. |
Species Reactivity | Human |
Immunogen | A synthetic phosphopeptide corresponding to residues surrounding Ser656 of human Rad17 |
Formulation | Purified antibody in TBS with 0.05% sodium azide,0.05%BSA and 50% glycerol. |
Application |
|
---|---|
WB | 1/500-1/1000 |
IHC | 1/50-1/100 |
IF/ICC | 1/50-1/200 |
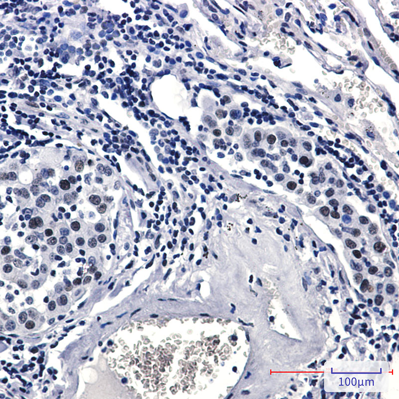
Product Image
- Western blot analysis of Rad17 (Phospho-Ser656) in Hela, Ramos lysates using Rad17 (Phospho-Ser656) antibody.
- Immunocytochemistry analysis of Phospho-Rad17 (Ser656) (green) in Hela using Phospho-Rad17 (Ser656) antibody,and DAPI(blue).
- Immunohistochemistry analysis of paraffin-embedded Human lung cancer tissue using Rad17 (Phospho-Ser656) antibody. High-pressure and temperature Sodium Citrate pH 6.0 was used for antigen retrieval.
For Reseach Only
Application Key:WB - Western Blot | IHC - Immunohistochemistry | ICC - Immunocytochemistry | FCM - Flow Cytometry | ELISA - Enzyme-linked Immunosorbent Assay | IP - Immunoprecipitation
#P20198

相关产品


