提醒成功

搜索
Rabbit Monoclonal Antibody to Phospho-NDRG1 (Ser330)
-
货号:
P20189 -
别名:
Protein NDRG1; Differentiation-related gene 1 protein; DRG-1; RTP; Rit42; NDRG1; CAP43; DRG1; RTP; targ1; TDD5; tdds -
应用:
WB,IP,IHC,IF -
反应种属:
Human,Mouse -
抗体类型:
Primary antibody -
Swissprot:
Q92597 -
规格:
-
数量:
-+ -
说明书:
目录价¥2180

Rabbit Monoclonal Antibody to Phospho-NDRG1 (Ser330)
Description |
---|
May have a growth inhibitory role. |
Specification |
|
---|---|
Aliases | Protein NDRG1; Differentiation-related gene 1 protein; DRG-1; RTP; Rit42; NDRG1; CAP43; DRG1; RTP; targ1; TDD5; tdds |
Entrez GeneID | 10397 |
Swissprot | Q92597 |
WB Predicted band size | Calculated MW: 43 kDa; Observed MW: 43 kDa |
Host/Isotype | Rabbit IgG |
Antibody Type | Primary antibody |
Storage | Store at 4°C short term. Aliquot and store at -20°C long term. Avoid freeze/thaw cycles. |
Species Reactivity | Human,Mouse |
Immunogen | A synthetic phosphopeptide corresponding to residues surrounding Ser330 of human NDRG1 |
Formulation | Purified antibody in TBS with 0.05% sodium azide,0.05%BSA and 50% glycerol. |
Application |
|
---|---|
WB | 1/500-1/1000 |
IP | 1/10-1/20 |
IHC | 1/50-1/100 |
IF/ICC | 1/50-1/200 |
Product Image
- Western blot analysis of Phospho-NDRG1 (Ser330) in mouse kidney lysates using Phospho-NDRG1 (Ser330) antibody.
- Western blot analysis of Phospho-NDRG1(Ser330) in Hela, A549, MCF-7, 239T, C2C12 lysates using Phospho-NDRG1(Ser330) antibody
- Immunocytochemistry analysis of Phospho-NDRG1 (Ser330) (green) in 293T using Phospho-NDRG1 (Ser330) antibody,and DAPI(blue).
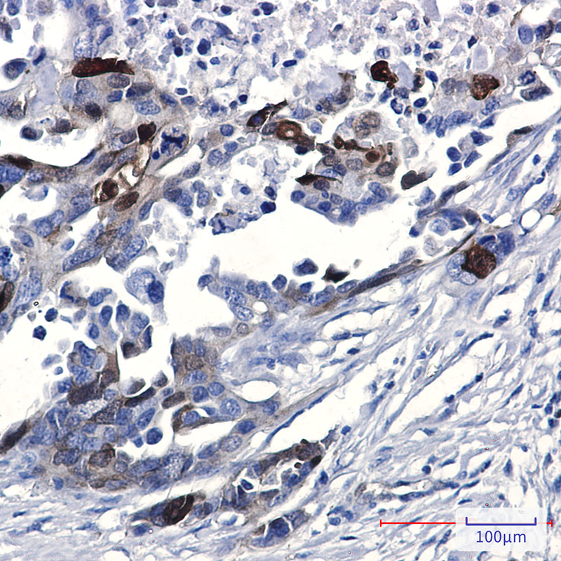
- Immunohistochemistry analysis of paraffin-embedded Human Cholangiocarcinoma using NDRG1 (Phospho-Ser330) antibody.High-pressure and temperature Sodium Citrate pH 6.0 was used for antigen retrieval.
For Reseach Only
Application Key:WB - Western Blot | IHC - Immunohistochemistry | ICC - Immunocytochemistry | FCM - Flow Cytometry | ELISA - Enzyme-linked Immunosorbent Assay | IP - Immunoprecipitation
#P20189

相关产品


