提醒成功

搜索
Rabbit Monoclonal Antibody to Phospho-GATA3 (Ser308)
-
货号:
P20178 -
别名:
GATA3; Trans-acting T-cell-specific transcription factor GATA-3; GATA-binding factor 3 -
应用:
WB,IP,IHC -
反应种属:
Human -
抗体类型:
Primary antibody -
Swissprot:
P23771 -
规格:
-
数量:
-+ -
说明书:
目录价¥2180

Rabbit Monoclonal Antibody to Phospho-GATA3 (Ser308)
Description |
---|
Transcriptional activator which binds to the enhancer of the T-cell receptor alpha and delta genes. Binds to the consensus sequence 5'-AGATAG-3'. Required for the T-helper 2 (Th2) differentiation process following immune and inflammatory responses. |
Specification |
|
---|---|
Aliases | GATA3; Trans-acting T-cell-specific transcription factor GATA-3; GATA-binding factor 3 |
Entrez GeneID | 2625 |
Swissprot | P23771 |
WB Predicted band size | Calculated MW: 48 kDa; Observed MW: 48 kDa |
Host/Isotype | Rabbit IgG |
Antibody Type | Primary antibody |
Storage | Store at 4°C short term. Aliquot and store at -20°C long term. Avoid freeze/thaw cycles. |
Species Reactivity | Human |
Immunogen | A synthetic phosphopeptide corresponding to residues surrounding Ser308 of human GATA3 |
Formulation | Purified antibody in TBS with 0.05% sodium azide,0.05%BSA and 50% glycerol. |
Application |
|
---|---|
WB | 1/500-1/1000 |
IP | 1/10-1/20 |
IHC | 1/50-1/100 |
Product Image
- Western blot analysis of Phospho-GATA3 (Ser308) in A549, MCF-7, U251 lysates using Phospho-GATA3 (Ser308) antibody.
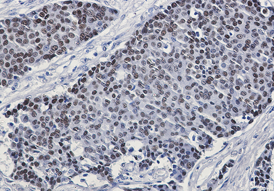
- Immunohistochemistry analysis of paraffin-embedded Human breast cancer using GATA3 (Phospho-Ser308) antibody.High-pressure and temperature Sodium Citrate pH 6.0 was used for antigen retrieval.
For Reseach Only
Application Key:WB - Western Blot | IHC - Immunohistochemistry | ICC - Immunocytochemistry | FCM - Flow Cytometry | ELISA - Enzyme-linked Immunosorbent Assay | IP - Immunoprecipitation
#P20178

相关产品


