提醒成功

搜索
Rabbit Monoclonal Antibody to Phospho-Filamin A/B (Ser2152/Ser2107)
-
货号:
P20177 -
别名:
FLN; FMD; MNS; OPD; ABPX; CSBS; CVD1; FGS2; FLN1; NHBP; OPD1; OPD2; XLVD; XMVD; FLN-A; ABP-280 -
应用:
WB,IHC,IF -
反应种属:
Human,Rat -
抗体类型:
Primary antibody -
Swissprot:
O75369 -
规格:
-
数量:
-+ -
说明书:
目录价¥2180

Rabbit Monoclonal Antibody to Phospho-Filamin A/B (Ser2152/Ser2107)
Description |
---|
Connects cell membrane constituents to the actin cytoskeleton. |
Specification |
|
---|---|
Aliases | FLN; FMD; MNS; OPD; ABPX; CSBS; CVD1; FGS2; FLN1; NHBP; OPD1; OPD2; XLVD; XMVD; FLN-A; ABP-280 |
Entrez GeneID | 2317 |
Swissprot | O75369 |
WB Predicted band size | Calculated MW: 278 kDa; Observed MW: 281 kDa |
Host/Isotype | Rabbit IgG |
Antibody Type | Primary antibody |
Storage | Store at 4°C short term. Aliquot and store at -20°C long term. Avoid freeze/thaw cycles. |
Species Reactivity | Human,Rat |
Immunogen | A synthetic phosphopeptide corresponding to residues surrounding Ser2152 of human Filamin A |
Formulation | Purified antibody in TBS with 0.05% sodium azide,0.05%BSA and 50% glycerol. |
Application |
|
---|---|
WB | 1/500-1/1000 |
IHC | 1/50-1/100 |
IF/ICC | 1/50-1/200 |
Product Image
- Western blot analysis of Filamin A (Phospho-Ser2152)/Filamin B (Phospho-Ser2107) in Hela, A549, U2OS, C6 lysates using Filamin A (Phospho-Ser2152)/Filamin B (Phospho-Ser2107) antibody.
- Immunocytochemistry analysis of Phospho-Filamin A/B (Ser2152/Ser2107) (green) in A549 using Phospho-Filamin A/B (Ser2152/Ser2107) antibody,and DAPI(blue).
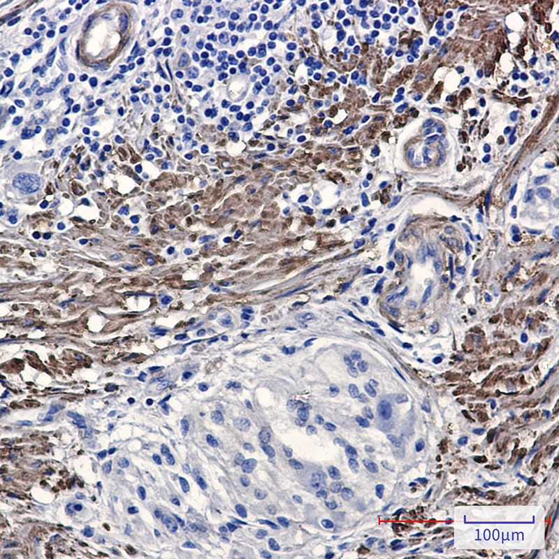
- Immunohistochemistry analysis of paraffin-embedded Human Cholangiocarcinoma using Filamin A (Phospho-Ser2152)/Filamin B (Phospho-Ser2107) antibody. High-pressure and temperature Sodium Citrate pH 6.0 was used for antigen retrieval.
For Reseach Only
Application Key:WB - Western Blot | IHC - Immunohistochemistry | ICC - Immunocytochemistry | FCM - Flow Cytometry | ELISA - Enzyme-linked Immunosorbent Assay | IP - Immunoprecipitation
#P20177

相关产品


