提醒成功

搜索
Rabbit Monoclonal Antibody to Phospho-mTOR (Ser2448)
-
货号:
P20131 -
别名:
MTOR; FRAP; FRAP1; FRAP2; RAFT1; RAPT1; Serine/threonine-protein kinase mTOR; FK506-binding protein 12-rapamycin complex-associated protein 1; FKBP12-rapamycin complex-associated protein; Mammalian target of rapamycin; mTOR; Mechanistic tar -
应用:
WB,IHC -
反应种属:
Human,Mouse -
抗体类型:
Primary antibody -
Swissprot:
P42345 -
规格:
-
数量:
-+ -
说明书:
目录价¥2180

Rabbit Monoclonal Antibody to Phospho-mTOR (Ser2448)
Description |
---|
An atypical kinase belonging to the PIKK family of kinases. Controls cell growth through protein synthesis regulation. Downstream of PI3K/Akt pathway and required for cell survival. Acts as the target for the cell-cycle arrest and immunosuppressive effects of the FKBP12-rapamycin complex. |
Specification |
|
---|---|
Aliases | MTOR; FRAP; FRAP1; FRAP2; RAFT1; RAPT1; Serine/threonine-protein kinase mTOR; FK506-binding protein 12-rapamycin complex-associated protein 1; FKBP12-rapamycin complex-associated protein; Mammalian target of rapamycin; mTOR; Mechanistic tar |
Entrez GeneID | 2475 |
Swissprot | P42345 |
WB Predicted band size | Calculated MW: 289 kDa; Observed MW: 289 kDa |
Host/Isotype | Rabbit IgG |
Antibody Type | Primary antibody |
Storage | Store at 4°C short term. Aliquot and store at -20°C long term. Avoid freeze/thaw cycles. |
Species Reactivity | Human,Mouse |
Immunogen | A synthetic phosphopeptide corresponding to residues surrounding Ser2448 of human mTOR |
Formulation | Purified antibody in TBS with 0.05% sodium azide,0.05%BSA and 50% glycerol. |
Application |
|
---|---|
WB | 1/500-1/1000 |
IHC | 1/50-1/100 |
Product Image
- Western blot analysis of Phospho-mTOR (Ser2448) in Hela, Hela+EGF lysates using Phospho-mTOR (Ser2448) antibody.
- Western blot analysis of mTOR (Phospho-Ser2448) in 3t3 lysates using mTOR (Phospho-Ser2448) antibody.
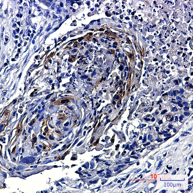
- Immunohistochemistry analysis of paraffin-embedded Human lung cancer using Phospho-mTOR (Ser2448) antibody.High-pressure and temperature Sodium Citrate pH 6.0 was used for antigen retrieval.
For Reseach Only
Application Key:WB - Western Blot | IHC - Immunohistochemistry | ICC - Immunocytochemistry | FCM - Flow Cytometry | ELISA - Enzyme-linked Immunosorbent Assay | IP - Immunoprecipitation
#P20131

相关产品


