提醒成功
搜索
Rabbit Monoclonal Antibody to Phospho-Cytokeratin 8 (Ser23)
-
货号:
P20113 -
别名:
KRT8; CYK8; Keratin; type II cytoskeletal 8; Cytokeratin-8; CK-8; Keratin-8; K8; Type-II keratin Kb8 -
应用:
WB,IP,IHC,IF -
反应种属:
Human -
抗体类型:
Primary antibody -
Swissprot:
P05787 -
规格:
-
数量:
-+ -
说明书:
目录价¥2180
Rabbit Monoclonal Antibody to Phospho-Cytokeratin 8 (Ser23)
Description |
|---|
Together with KRT19, helps to link the contractile apparatus to dystrophin at the costameres of striated muscle. K8 a type II cytoskeletal keratin. The keratins are intermediate filament proteins responsible for the structural integrity of epithelial cells and are subdivided into cytokeratins and hair keratins. |
Specification |
|
|---|---|
| Aliases | KRT8; CYK8; Keratin; type II cytoskeletal 8; Cytokeratin-8; CK-8; Keratin-8; K8; Type-II keratin Kb8 |
| Entrez GeneID | 3856 |
| Swissprot | P05787 |
| WB Predicted band size | Calculated MW: 54 kDa; Observed MW: 54 kDa |
| Host/Isotype | Rabbit IgG |
| Antibody Type | Primary antibody |
| Storage | Store at 4°C short term. Aliquot and store at -20°C long term. Avoid freeze/thaw cycles. |
| Species Reactivity | Human |
| Immunogen | A synthetic phosphopeptide corresponding to residues surrounding Ser23 of human Cytokeratin 8 |
| Formulation | Purified antibody in TBS with 0.05% sodium azide,0.05%BSA and 50% glycerol. |
Application |
|
|---|---|
| WB | 1/500-1/1000 |
| IP | 1/10-1/20 |
| IHC | 1/50-1/100 |
| IF/ICC | 1/50-1/200 |
Product Image
- Western blot analysis of Phospho-Cytokeratin 8 (Ser23) in K562, Hela lysates using Phospho-Cytokeratin 8 (Ser23) antibody.
- Immunocytochemistry analysis of Cytokeratin 8 (Phospho-Ser23)(green) in Hela using Cytokeratin 8 (Phospho-Ser23) antibody,and DAPI(blue)
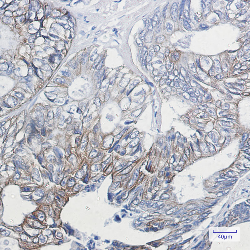
- Immunohistochemistry analysis of paraffin-embedded Human colon cancer using Cytokeratin 8 (Phospho-Ser23) antibody.High-pressure and temperature Sodium Citrate pH 6.0 was used for antigen retrieval.
For Reseach Only
Application Key:WB - Western Blot | IHC - Immunohistochemistry | ICC - Immunocytochemistry | FCM - Flow Cytometry | ELISA - Enzyme-linked Immunosorbent Assay | IP - Immunoprecipitation
#P20113
相关产品

微信/QQ登录


首页
