提醒成功
搜索
Rabbit Polyclonal Antibody to TriMethyl-Histone H4 (Lys20)
-
货号:
P20060 -
别名:
H4K20me3; H4F2; HIST; HIST1H4A; Histone H4 -
应用:
WB,IHC -
反应种属:
Human,Mouse,Rat -
抗体类型:
Primary antibody -
Swissprot:
P62805 -
规格:
-
数量:
-+ -
说明书:
目录价¥1980
Rabbit Polyclonal Antibody to TriMethyl-Histone H4 (Lys20)
Description |
|---|
The chromatin fiber is further compacted through the interaction of a linker histone, H1, with the DNA between the nucleosomes to form higher order chromatin structures. This gene is intronless and encodes a member of the histone H4 family. |
Specification |
|
|---|---|
| Aliases | H4K20me3; H4F2; HIST; HIST1H4A; Histone H4 |
| Entrez GeneID | 121504 |
| Swissprot | P62805 |
| WB Predicted band size | Calculated MW: 11 kDa; Observed MW: 11 kDa |
| Host/Isotype | Rabbit IgG |
| Antibody Type | Primary antibody |
| Storage | Store at 4°C short term. Aliquot and store at -20°C long term. Avoid freeze/thaw cycles. |
| Species Reactivity | Human,Mouse,Rat |
| Immunogen | A synthesized peptide derived from human Histone H4 (tri methyl K20) |
| Formulation | Purified antibody in PBS with 0.05% sodium azide. |
Application |
|
|---|---|
| WB | 1/500-1/1000 |
| IHC | 1/50-1/100 |
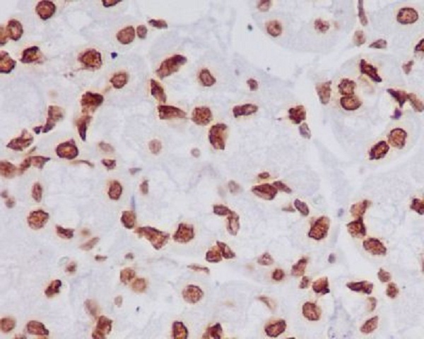
Product Image
- Western blot analysis of Histone H4 (tri methyl K20) in HeLa lysates using TriMethyl-Histone H4 (Lys20) antibody.
- Immunohistochemistry analysis of paraffin-embedded Human stomach using Histone H4 (tri methyl K20) antibody.High-pressure and temperature Sodium Citrate pH 6.0 was used for antigen retrieval.
For Reseach Only
Application Key:WB - Western Blot | IHC - Immunohistochemistry | ICC - Immunocytochemistry | FCM - Flow Cytometry | ELISA - Enzyme-linked Immunosorbent Assay | IP - Immunoprecipitation
#P20060
相关产品

微信/QQ登录


首页
