提醒成功
搜索
Rabbit Polyclonal Antibody to MonoMethyl-Histone H3 (Lys18)
-
货号:
P20058 -
别名:
H3K18me; H3/j; H3C1; H3C2; H3C3; H3C4; H3C6; H3C7; H3C8; H3FJ; H3C10; H3C11; HIST1H3J -
应用:
WB,IHC,IF -
反应种属:
Human,Mouse,Rat -
抗体类型:
Primary antibody -
Swissprot:
P68431 -
规格:
-
数量:
-+ -
说明书:
目录价¥1980
Rabbit Polyclonal Antibody to MonoMethyl-Histone H3 (Lys18)
Description |
|---|
H3 Core component of nucleosome. Nucleosomes wrap and compact DNA into chromatin, limiting DNA accessibility to the cellular machineries which require DNA as a template. Histones thereby play a central role in transcription regulation, DNA repair, DNA replication and chromosomal stability. |
Specification |
|
|---|---|
| Aliases | H3K18me; H3/j; H3C1; H3C2; H3C3; H3C4; H3C6; H3C7; H3C8; H3FJ; H3C10; H3C11; HIST1H3J |
| Entrez GeneID | 8350 |
| Swissprot | P68431 |
| WB Predicted band size | Calculated MW: 15 kDa; Observed MW: 15 kDa |
| Host/Isotype | Rabbit IgG |
| Antibody Type | Primary antibody |
| Storage | Store at 4°C short term. Aliquot and store at -20°C long term. Avoid freeze/thaw cycles. |
| Species Reactivity | Human,Mouse,Rat |
| Immunogen | A synthesized peptide derived from human Histone H3 (mono methyl K18) |
| Formulation | Purified antibody in PBS with 0.05% sodium azide. |
Application |
|
|---|---|
| WB | 1/500-1/1000 |
| IHC | 1/50-1/100 |
| IF/ICC | 1/50-1/200 |
Product Image
- Western blot analysis of Histone H3 (mono methyl K18) in HeLa lysates using MonoMethyl-Histone H3 (Lys18) antibody.
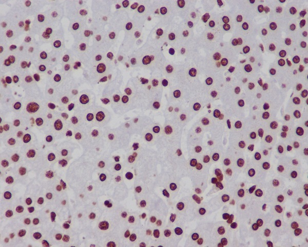
- Immunohistochemistry analysis of paraffin-embedded Human liver using Histone H3 (mono methyl K18) antibody.High-pressure and temperature Sodium Citrate pH 6.0 was used for antigen retrieval.
For Reseach Only
Application Key:WB - Western Blot | IHC - Immunohistochemistry | ICC - Immunocytochemistry | FCM - Flow Cytometry | ELISA - Enzyme-linked Immunosorbent Assay | IP - Immunoprecipitation
#P20058
相关产品

微信/QQ登录


首页
