提醒成功

搜索
Mouse Monoclonal Antibody to CD44
-
货号:
31428 -
别名:
IN; LHR; MC56; MDU2; MDU3; MIC4; Pgp1; CDW44; CSPG8; HCELL; HUTCH-I; ECMR-III -
应用:
WB,IHC,FCM -
反应种属:
Human -
抗体类型:
Primary antibody -
Swissprot:
P16070 -
规格:
-
数量:
-+ -
说明书:
目录价¥2180

Mouse Monoclonal Antibody to CD44
Description |
---|
The protein encoded by this gene is a cell-surface glycoprotein involved in cell-cell interactions, cell adhesion and migration. It is a receptor for hyaluronic acid (HA) and can also interact with other ligands, such as osteopontin, collagens, and matrix metalloproteinases (MMPs). This protein participates in a wide variety of cellular functions including lymphocyte activation, recirculation and homing, hematopoiesis, and tumor metastasis. Transcripts for this gene undergo complex alternative splicing that results in many functionally distinct isoforms, however, the full length nature of some of these variants has not been determined. Alternative splicing is the basis for the structural and functional diversity of this protein, and may be related to tumor metastasis. |
References |
---|
1.Mol Med Rep. 2016 Oct;14(4):3159-67. 2.Mol Cancer Res. 2016 Apr;14(4):344-53. |
Specification |
|
---|---|
Aliases | IN; LHR; MC56; MDU2; MDU3; MIC4; Pgp1; CDW44; CSPG8; HCELL; HUTCH-I; ECMR-III |
Entrez GeneID | 960 |
Swissprot | P16070 |
clone | 7F4F12 |
WB Predicted band size | 81.5kDa |
Host/Isotype | Mouse IgG1 |
Antibody Type | Primary antibody |
Storage | Store at 4°C short term. Aliquot and store at -20°C long term. Avoid freeze/thaw cycles. |
Species Reactivity | Human |
Immunogen | Purified recombinant fragment of human CD44 (AA: extra 36-194) expressed in E. Coli. |
Formulation | Purified antibody in PBS with 0.05% sodium azide |
Application |
|
---|---|
WB | 1/500 - 1/2000 |
IHC | 1/200 - 1/1000 |
FCM | 1/200 - 1/400 |
ELISA | 1/10000 |
Product Image
- Black line: Control Antigen (100 ng);Purple line: Antigen (10ng); Blue line: Antigen (50 ng); Red line:Antigen (100 ng)
- Western blot analysis using CD44 mouse mAb against HUVEC (1) and HUVE-12 (2) cell lysate.
- Flow cytometric analysis of Hela cells using CD44 mouse mAb (green) and negative control (red).
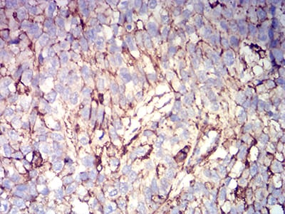
- Immunohistochemical analysis of paraffin-embedded human liver cancer tissues using CD44 mouse mAb with DAB staining.
- Immunohistochemical analysis of paraffin-embedded human bladder cancer tissues using CD44 mouse mAb with DAB staining.
For Reseach Only
Application Key:WB - Western Blot | IHC - Immunohistochemistry | ICC - Immunocytochemistry | FCM - Flow Cytometry | ELISA - Enzyme-linked Immunosorbent Assay | IP - Immunoprecipitation
#31428

相关产品


