提醒成功

搜索
Mouse Monoclonal Antibody to CD107b
-
货号:
31377 -
别名:
LAMPB; LAMP2; LAMP-2; LGP-96; LGP110 -
应用:
IHC,FCM -
反应种属:
Human -
抗体类型:
Primary antibody -
Swissprot:
P13473 -
规格:
-
数量:
-+ -
说明书:
目录价¥2180

Mouse Monoclonal Antibody to CD107b
Description |
---|
The protein encoded by this gene is a member of a family of membrane glycoproteins. This glycoprotein provides selectins with carbohydrate ligands. It may play a role in tumor cell metastasis. It may also function in the protection, maintenance, and adhesion of the lysosome. Alternative splicing of this gene results in multiple transcript variants encoding distinct proteins. |
References |
---|
1.Mol Cell Biochem. 2014 Jan;385(1-2):1-6. 2.Rheumatology (Oxford). 2013 Sep;52(9):1592-8. |
Specification |
|
---|---|
Aliases | LAMPB; LAMP2; LAMP-2; LGP-96; LGP110 |
Entrez GeneID | 3920 |
Swissprot | P13473 |
clone | 6A10H10 |
WB Predicted band size | 45kDa |
Host/Isotype | Mouse IgG1 |
Antibody Type | Primary antibody |
Storage | Store at 4°C short term. Aliquot and store at -20°C long term. Avoid freeze/thaw cycles. |
Species Reactivity | Human |
Immunogen | Purified recombinant fragment of human CD107b (AA: extra 29-168) expressed in E. Coli. |
Formulation | Purified antibody in PBS with 0.05% sodium azide |
Application |
|
---|---|
IHC | 1/200 - 1/1000 |
FCM | 1/200 - 1/400 |
ELISA | 1/10000 |
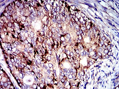
Product Image
- Black line: Control Antigen (100 ng);Purple line: Antigen (10ng); Blue line: Antigen (50 ng); Red line:Antigen (100 ng)
- Flow cytometric analysis of Jurkat cells using CD107b mouse mAb (green) and negative control (red).
- Immunohistochemical analysis of paraffin-embedded human lung cancer tissues using CD107b mouse mAb with DAB staining.
- Immunohistochemical analysis of paraffin-embedded human cervical cancer tissues using CD107b mouse mAb with DAB staining.
For Reseach Only
Application Key:WB - Western Blot | IHC - Immunohistochemistry | ICC - Immunocytochemistry | FCM - Flow Cytometry | ELISA - Enzyme-linked Immunosorbent Assay | IP - Immunoprecipitation
#31377

相关产品


