提醒成功

搜索
Mouse Monoclonal Antibody to P2RY1
-
货号:
31320 -
别名:
P2Y1 -
应用:
WB,IHC,FCM -
反应种属:
Human,Rat -
抗体类型:
Primary antibody -
Swissprot:
P47900 -
规格:
-
数量:
-+ -
说明书:
目录价¥2180

Mouse Monoclonal Antibody to P2RY1
Description |
---|
The product of this gene belongs to the family of G-protein coupled receptors. This family has several receptor subtypes with different pharmacological selectivity, which overlaps in some cases, for various adenosine and uridine nucleotides. This receptor functions as a receptor for extracellular ATP and ADP. In platelets binding to ADP leads to mobilization of intracellular calcium ions via activation of phospholipase C, a change in platelet shape, and probably to platelet aggregation. |
References |
---|
1.Nature. 2015 Apr 16;520(7547):317-21. 2.Biochem Pharmacol. 2011 Aug 15;82(4):418-25. |
Specification |
|
---|---|
Aliases | P2Y1 |
Entrez GeneID | 5028 |
Swissprot | P47900 |
clone | 4G5D6 |
WB Predicted band size | 42kDa |
Host/Isotype | Mouse IgG2b |
Antibody Type | Primary antibody |
Storage | Store at 4°C short term. Aliquot and store at -20°C long term. Avoid freeze/thaw cycles. |
Species Reactivity | Human,Rat |
Immunogen | Purified recombinant fragment of human P2RY1 (AA: extra mix) expressed in E. Coli. |
Formulation | Purified antibody in PBS with 0.05% sodium azide |
Application |
|
---|---|
WB | 1/500 - 1/2000 |
IHC | 1/200 - 1/1000 |
FCM | 1/200 - 1/400 |
ELISA | 1/10000 |
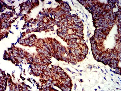
Product Image
- Black line: Control Antigen (100 ng);Purple line: Antigen (10ng); Blue line: Antigen (50 ng); Red line:Antigen (100 ng)
- Western blot analysis using P2RY1 mouse mAb against SPC-A-1 (1) and C6 (2) cell lysate.
- Flow cytometric analysis of Hela cells using P2RY1 mouse mAb (green) and negative control (red).
- Flow cytometric analysis of K562 cells using P2RY1 mouse mAb (green) and negative control (red).
- Immunohistochemical analysis of paraffin-embedded human bladder cancer tissues using P2RY1 mouse mAb with DAB staining.
- Immunohistochemical analysis of paraffin-embedded human rectum cancer tissues using P2RY1 mouse mAb with DAB staining.
For Reseach Only
Application Key:WB - Western Blot | IHC - Immunohistochemistry | ICC - Immunocytochemistry | FCM - Flow Cytometry | ELISA - Enzyme-linked Immunosorbent Assay | IP - Immunoprecipitation
#31320

相关产品


