提醒成功

搜索
Mouse Monoclonal Antibody to UFD1L
-
货号:
31059 -
别名:
UFD1 -
应用:
IHC,IF -
反应种属:
Human -
抗体类型:
Primary antibody -
Swissprot:
Q92890 -
规格:
-
数量:
-+ -
说明书:
目录价¥2180

Mouse Monoclonal Antibody to UFD1L
Description |
---|
The protein encoded by this gene forms a complex with two other proteins, nuclear protein localization-4 and valosin-containing protein, and this complex is necessary for the degradation of ubiquitinated proteins. In addition, this complex controls the disassembly of the mitotic spindle and the formation of a closed nuclear envelope after mitosis. Mutations in this gene have been associated with Catch 22 syndrome as well as cardiac and craniofacial defects. Alternative splicing results in multiple transcript variants encoding different isoforms. A related pseudogene has been identified on chromosome 18. |
References |
---|
1.Proc Natl Acad Sci U S A. 2011 May 31;108(22):9119-24. 2.Cell Biochem Funct. 2003 Sep;21(3):263-7. |
Specification |
|
---|---|
Aliases | UFD1 |
Entrez GeneID | 7353 |
Swissprot | Q92890 |
clone | 4F11A4 |
WB Predicted band size | 34.5kDa |
Host/Isotype | Mouse IgG1 |
Antibody Type | Primary antibody |
Storage | Store at 4°C short term. Aliquot and store at -20°C long term. Avoid freeze/thaw cycles. |
Species Reactivity | Human |
Immunogen | Purified recombinant fragment of human UFD1L (AA: 208-307) expressed in E. Coli. |
Formulation | Purified antibody in PBS with 0.05% sodium azide |
Application |
|
---|---|
IHC | 1/200 - 1/1000 |
IF/ICC | 1/200 - 1/1000 |
ELISA | 1/10000 |
Product Image
- Black line: Control Antigen (100 ng);Purple line: Antigen (10ng); Blue line: Antigen (50 ng); Red line:Antigen (100 ng)
- Immunofluorescence analysis of Hela cells using UFD1L mouse mAb (green). Blue: DRAQ5 fluorescent DNA dye. Red: Actin filaments have been labeled with Alexa Fluor- 555 phalloidin. Secondary antibody from Fisher (Cat#: 35503)
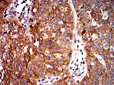
- Immunohistochemical analysis of paraffin-embedded human ovarian cancer tissues using UFD1L mouse mAb with DAB staining.
- Immunohistochemical analysis of paraffin-embedded human esophageal cancer tissues using UFD1L mouse mAb with DAB staining.
For Reseach Only
Application Key:WB - Western Blot | IHC - Immunohistochemistry | ICC - Immunocytochemistry | FCM - Flow Cytometry | ELISA - Enzyme-linked Immunosorbent Assay | IP - Immunoprecipitation
#31059

相关产品


