提醒成功

搜索
Mouse Monoclonal Antibody to PYCARD
-
货号:
31008 -
别名:
ASC; TMS; TMS1; CARD5; TMS-1 -
应用:
IHC,IF,FCM -
反应种属:
Human -
抗体类型:
Primary antibody -
Swissprot:
Q9ULZ3 -
规格:
-
数量:
-+ -
说明书:
目录价¥2180

Mouse Monoclonal Antibody to PYCARD
Description |
---|
This gene encodes an adaptor protein that is composed of two protein-protein interaction domains: a N-terminal PYRIN-PAAD-DAPIN domain (PYD) and a C-terminal caspase-recruitment domain (CARD). The PYD and CARD domains are members of the six-helix bundle death domain-fold superfamily that mediates assembly of large signaling complexes in the inflammatory and apoptotic signaling pathways via the activation of caspase. In normal cells, this protein is localized to the cytoplasm; however, in cells undergoing apoptosis, it forms ball-like aggregates near the nuclear periphery. Two transcript variants encoding different isoforms have been found for this gene. |
References |
---|
1.J Invest Dermatol. 2013 Feb;133(2):518-27. 2.Cancer Sci. 2010 Aug;101(8):1822-7. |
Specification |
|
---|---|
Aliases | ASC; TMS; TMS1; CARD5; TMS-1 |
Entrez GeneID | 29108 |
Swissprot | Q9ULZ3 |
clone | 1C3D3 |
WB Predicted band size | 21.6kDa |
Host/Isotype | Mouse IgG1 |
Antibody Type | Primary antibody |
Storage | Store at 4°C short term. Aliquot and store at -20°C long term. Avoid freeze/thaw cycles. |
Species Reactivity | Human |
Immunogen | Purified recombinant fragment of human PYCARD (AA: 1-120) expressed in E. Coli. |
Formulation | Purified antibody in PBS with 0.05% sodium azide |
Application |
|
---|---|
IHC | 1/200 - 1/1000 |
IF/ICC | 1/200 - 1/1000 |
FCM | 1/200 - 1/400 |
ELISA | 1/10000 |
Product Image
- Black line: Control Antigen (100 ng);Purple line: Antigen (10ng); Blue line: Antigen (50 ng); Red line:Antigen (100 ng)
- Immunofluorescence analysis of GC-7901 cells using PYCARD mouse mAb (green). Blue: DRAQ5 fluorescent DNA dye. Red: Actin filaments have been labeled with Alexa Fluor- 555 phalloidin. Secondary antibody from Fisher (Cat#: 35503)
- Immunofluorescence analysis of Hela cells using PYCARD mouse mAb (green). Blue: DRAQ5 fluorescent DNA dye. Red: Actin filaments have been labeled with Alexa Fluor- 555 phalloidin. Secondary antibody from Fisher (Cat#: 35503)
- Flow cytometric analysis of HEK293 cells using PYCARD mouse mAb (green) and negative control (red).
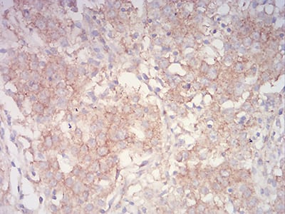
- Immunohistochemical analysis of paraffin-embedded human stomach cancer tissues using PYCARD mouse mAb with DAB staining.
For Reseach Only
Application Key:WB - Western Blot | IHC - Immunohistochemistry | ICC - Immunocytochemistry | FCM - Flow Cytometry | ELISA - Enzyme-linked Immunosorbent Assay | IP - Immunoprecipitation
#31008

相关产品


