提醒成功

搜索
Mouse Monoclonal Antibody to NOX4
-
货号:
30812 -
别名:
KOX; KOX-1; RENOX -
应用:
IHC,IF,FCM -
反应种属:
Human -
抗体类型:
Primary antibody -
Swissprot:
Q9NPH5 -
规格:
-
数量:
-+ -
说明书:
目录价¥2180

Mouse Monoclonal Antibody to NOX4
Description |
---|
This gene encodes a member of the NOX-family of enzymes that functions as the catalytic subunit the NADPH oxidase complex. The encoded protein is localized to non-phagocytic cells where it acts as an oxygen sensor and catalyzes the reduction of molecular oxygen to various reactive oxygen species (ROS). The ROS generated by this protein have been implicated in numerous biological functions including signal transduction, cell differentiation and tumor cell growth. A pseudogene has been identified on the other arm of chromosome 11. Alternative splicing results in multiple transcript variants. |
References |
---|
1.Stem Cells Dev. 2012 Aug 10;21(12):2212-21. 2.Cancer Biol Ther. 2010 Aug 1;10(3):223-31. |
Specification |
|
---|---|
Aliases | KOX; KOX-1; RENOX |
Entrez GeneID | 50507 |
Swissprot | Q9NPH5 |
clone | 3H2C4 |
WB Predicted band size | 67kDa |
Host/Isotype | Mouse IgG1 |
Antibody Type | Primary antibody |
Storage | Store at 4°C short term. Aliquot and store at -20°C long term. Avoid freeze/thaw cycles. |
Species Reactivity | Human |
Immunogen | Purified recombinant fragment of human NOX4 (AA: 210-310) expressed in E. Coli. |
Formulation | Purified antibody in PBS with 0.05% sodium azide |
Application |
|
---|---|
IHC | 1/200 - 1/1000 |
IF/ICC | 1/200 - 1/1000 |
FCM | 1/200 - 1/400 |
ELISA | 1/10000 |
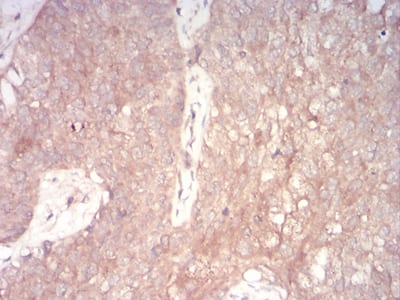
Product Image
- Black line: Control Antigen (100 ng); Purple line: Antigen(10ng); Blue line: Antigen (50 ng); Red line: Antigen (100 ng);
- Immunofluorescence analysis of Hela cells using NOX4 mouse mAb (green). Blue: DRAQ5 fluorescent DNA dye. Red: Actin filaments have been labeled with Alexa Fluor- 555 phalloidin. Secondary antibody from Fisher (Cat#: 35503)
- Flow cytometric analysis of Hela cells using NOX4 mouse mAb (green) and negative control (red).
- Immunohistochemical analysis of paraffin-embedded human bladder cancer tissues using NOX4 mouse mAb with DAB staining.
For Reseach Only
Application Key:WB - Western Blot | IHC - Immunohistochemistry | ICC - Immunocytochemistry | FCM - Flow Cytometry | ELISA - Enzyme-linked Immunosorbent Assay | IP - Immunoprecipitation
#30812

相关产品


