提醒成功

搜索
Mouse Monoclonal Antibody to PPT1
-
货号:
P32586 -
别名:
Palmitoyl-protein thioesterase 1, PPT-1, Palmitoyl-protein hydrolase 1, PPT1, PPT -
应用:
WB,IHC-P,FCM -
反应种属:
Human -
抗体类型:
Primary antibody -
Swissprot:
P50897 -
规格:
-
数量:
-+ -
说明书:
目录价¥2180

Mouse Monoclonal Antibody to PPT1
Description |
---|
Removes thioester-linked fatty acyl groups such as palmitate from modified cysteine residues in proteins or peptides during lysosomal degradation. Prefers acyl chain lengths of 14 to 18 carbons. |
Specification |
|
---|---|
Aliases | Palmitoyl-protein thioesterase 1, PPT-1, Palmitoyl-protein hydrolase 1, PPT1, PPT |
Entrez GeneID | 5538 |
Swissprot | P50897 |
WB Predicted band size | 34.2kDa |
Host/Isotype | Mouse IgG1 |
Antibody Type | Primary antibody |
Storage | Store at 4°C short term. Aliquot and store at -20°C long term. Avoid freeze/thaw cycles. |
Species Reactivity | Human |
Immunogen | This PPT1 antibody is generated from a mouse immunized with a full-length recombinant protein from human PPT1. |
Formulation | Purified antibody in TBS with 0.05% sodium azide. |
Application |
|
---|---|
WB | 1/1000 |
IHC | 1/100-1/500 |
FCM | 1/25 |
Product Image
- Western blot analysis of lysate from HepG2 cell line using PPT1 Antibody (C-term) (Cat. # P32586). P32586 was diluted at 1:1000 at each lane. A goat anti-mouse IgG H&L(HRP) at 1:3000 dilution was used as the secondary antibody. Lysate at 35μg per lane.
- Flow cytometric analysis of HepG2 cells using PPT1 Antibody (C-term)(green, Cat#P32586) compared to an isotype control of mouse IgG1(blue). P32586 was diluted at 1:25 dilution. An Alexa Fluor® 488 goat anti-mouse lgG at 1:400 dilution was used as the secondary antibody.
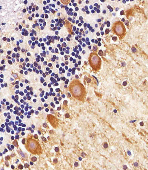
- Immunohistochemical analysis of paraffin-embedded H. cerebellum section using PPT1 Antibody (C-term)(Cat#P32586). P32586 was diluted at 1:25 dilution. A peroxidase-conjugated goat anti-mouse IgG at 1:400 dilution was used as the secondary antibody, followed by DAB staining.
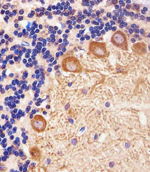
- Immunohistochemical analysis of paraffin-embedded M. cerebellum section using PPT1 Antibody (C-term)(Cat#P32586). P32586 was diluted at 1:25 dilution. A peroxidase-conjugated goat anti-mouse IgG at 1:400 dilution was used as the secondary antibody, followed by DAB staining.
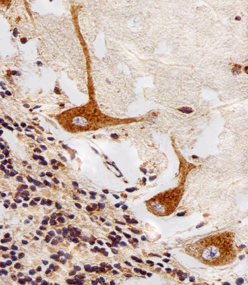
- Immunohistochemical analysis of paraffin-embedded R. cerebellum section using PPT1 Antibody (C-term)(Cat#P32586). P32586 was diluted at 1:25 dilution. A peroxidase-conjugated goat anti-mouse IgG at 1:400 dilution was used as the secondary antibody, followed by DAB staining.
For Reseach Only
Application Key:WB - Western Blot | IHC - Immunohistochemistry | ICC - Immunocytochemistry | FCM - Flow Cytometry | ELISA - Enzyme-linked Immunosorbent Assay | IP - Immunoprecipitation
#P32586

相关产品


