提醒成功

搜索
Mouse Monoclonal Antibody to GATA3
-
货号:
P32585 -
别名:
Trans-acting T-cell-specific transcription factor GATA-3, GATA-binding factor 3, GATA3 -
应用:
WB,IHC-P,IF,FCM -
反应种属:
Human -
抗体类型:
Primary antibody -
Swissprot:
P23771 -
规格:
-
数量:
-+ -
说明书:
目录价¥2180

Mouse Monoclonal Antibody to GATA3
Description |
---|
Transcriptional activator which binds to the enhancer of the T-cell receptor alpha and delta genes. Binds to the consensus sequence 5'-AGATAG-3'. |
Specification |
|
---|---|
Aliases | Trans-acting T-cell-specific transcription factor GATA-3, GATA-binding factor 3, GATA3 |
Entrez GeneID | 2625 |
Swissprot | P23771 |
WB Predicted band size | 47.9kDa |
Host/Isotype | Mouse IgG2b |
Antibody Type | Primary antibody |
Storage | Store at 4°C short term. Aliquot and store at -20°C long term. Avoid freeze/thaw cycles. |
Species Reactivity | Human |
Immunogen | This GATA3 antibody is generated from a mouse immunized with a recombinant protein from human GATA3. |
Application |
|
---|---|
WB | 1/1000 |
IHC | 1/400 |
IF/ICC | 1/25 |
FCM | 1/25 |
Product Image
- Western blot analysis of lysates from CEM, HL-60, SH-SY5Y cell lines (from left to right) using GATA3 Antibody (Center) (Cat. # P32585). P32585 was diluted at 1:1000 at each lane. A goat anti-mouse IgG H&L(HRP) at 1:3000 dilution was used as the secondary antibody. Lysates at 35μg per lane.
- Fluorescent image of MCF-7 cells stained with GATA3 Antibody (Center)(Cat#P32585). P32585 was diluted at 1:25 dilution. An Alexa Fluor® 488-conjugated goat anti-mouse lgG at 1:400 dilution was used as the secondary antibody (green). Cytoplasmic actin was counterstained with Alexa Fluor® 555 conjugated with Phalloidin (red).
- Flow cytometric analysis of MCF-7 cells using GATA3 Antibody (Center)(green, Cat#P32585) compared to an isotype control of mouse IgG2b(blue). P32585 was diluted at 1:25 dilution. An Alexa Fluor® 488 goat anti-mouse lgG at 1:400 dilution was used as the secondary antibody.
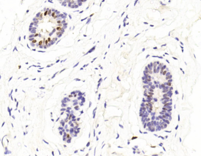
- Immunohistochemical analysis of paraffin-embedded Human Normal breast section using Pink1(Cat#P32585). P32585 was diluted at 1:400 dilution. A undiluted biotinylated goat polyvalent antibody was used as the secondary, followed by DAB staining.
For Reseach Only
Application Key:WB - Western Blot | IHC - Immunohistochemistry | ICC - Immunocytochemistry | FCM - Flow Cytometry | ELISA - Enzyme-linked Immunosorbent Assay | IP - Immunoprecipitation
#P32585

相关产品


