提醒成功

搜索
Rabbit Polyclonal Antibody to NOX4 (N-term)
-
货号:
P31386 -
别名:
NADPH oxidase 4, 163-, Kidney oxidase-1, KOX-1, Kidney superoxide-producing NADPH oxidase, Renal NAD(P)H-oxidase, NOX4, RENOX -
应用:
WB,IHC-P -
反应种属:
Human -
抗体类型:
Primary antibody -
Swissprot:
Q9NPH5 -
规格:
-
数量:
-+ -
说明书:
目录价¥1980

Rabbit Polyclonal Antibody to NOX4 (N-term)
Description |
---|
This gene encodes a member of the NOX-family of enzymes that functions as the catalytic subunit the NADPH oxidase complex. The encoded protein is localized to non-phagocytic cells where it acts as an oxygen sensor and catalyzes the reduction of molecular oxygen to various reactive oxygen species (ROS). The ROS generated by this protein have been implicated in numerous biological functions including signal transduction, cell differentiation and tumor cell growth. A pseudogene has been identified on the other arm of chromosome 11. Alternative splicing results in multiple transcript variants. |
Specification |
|
---|---|
Aliases | NADPH oxidase 4, 163-, Kidney oxidase-1, KOX-1, Kidney superoxide-producing NADPH oxidase, Renal NAD(P)H-oxidase, NOX4, RENOX |
Entrez GeneID | 50507 |
Swissprot | Q9NPH5 |
WB Predicted band size | 66.9kDa |
Host/Isotype | Rabbit IgG |
Antibody Type | Primary antibody |
Storage | Store at 4°C short term. Aliquot and store at -20°C long term. Avoid freeze/thaw cycles. |
Species Reactivity | Human |
Immunogen | This NOX4 antibody is generated from rabbits immunized with a KLH conjugated synthetic peptide between 124-153 amino acids from the N-terminal region of human NOX4. |
Formulation | Purified antibody in PBS with 0.05% sodium azide. |
Application |
|
---|---|
WB | 1/1000 |
IHC | 1/100-1/500 |
Product Image
- NOX4 Antibody (N-term) (Cat. #P31386) western blot analysis in CEM cell line lysates (35ug/lane).This demonstrates the NOX4 antibody detected the NOX4 protein (arrow).
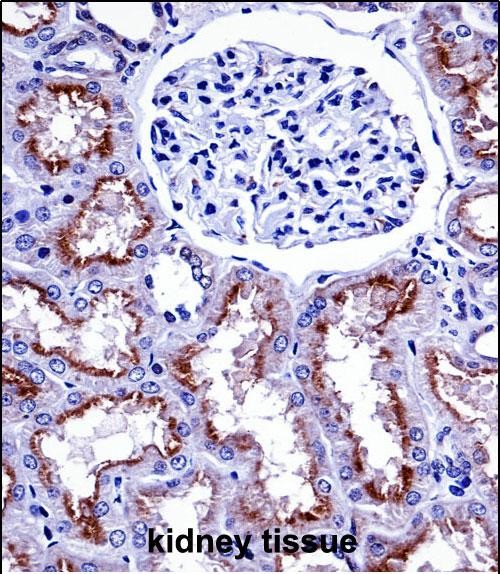
- NOX4 Antibody (N-term) (P31386)immunohistochemistry analysis in formalin fixed and paraffin embedded human kidney tissue followed by peroxidase conjugation of the secondary antibody and DAB staining.This data demonstrates the use of NOX4 Antibody (N-term) for immunohistochemistry. Clinical relevance has not been evaluated.
For Reseach Only
Application Key:WB - Western Blot | IHC - Immunohistochemistry | ICC - Immunocytochemistry | FCM - Flow Cytometry | ELISA - Enzyme-linked Immunosorbent Assay | IP - Immunoprecipitation
#P31386

相关产品


