提醒成功

搜索
Mouse Monoclonal Antibody to DNMT1
-
货号:
30541 -
别名:
AIM; DNMT; MCMT; CXXC9; HSN1E -
应用:
WB,IHC -
反应种属:
Human,Monkey -
抗体类型:
Primary antibody -
Swissprot:
P26358 -
规格:
-
数量:
-+ -
说明书:
目录价¥2180

Mouse Monoclonal Antibody to DNMT1
Description |
---|
DNA (cytosine-5-)-methyltransferase 1 has a role in the establishment and regulation of tissue-specific patterns of methylated cytosine residues. Aberrant methylation patterns are associated with certain human tumors and developmental abnormalities. Two transcript variants encoding different isoforms have been found for this gene. |
References |
---|
1. PLoS One. 2011;6(11):e27684. 2. J Exp Clin Cancer Res. 2011 Oct 17;30:98. |
Specification |
|
---|---|
Aliases | AIM; DNMT; MCMT; CXXC9; HSN1E |
Entrez GeneID | 1786 |
Swissprot | P26358 |
clone | 7C11A2 |
WB Predicted band size | 183.2kDa |
Host/Isotype | Mouse IgG1 |
Antibody Type | Primary antibody |
Storage | Store at 4°C short term. Aliquot and store at -20°C long term. Avoid freeze/thaw cycles. |
Species Reactivity | Human,Monkey |
Immunogen | Purified recombinant fragment of human DNMT1 (AA: 1448-1594) expressed in E. Coli. |
Formulation | Purified antibody in PBS with 0.05% sodium azide |
Application |
|
---|---|
WB | 1/500 - 1/2000 |
IHC | 1/200 - 1/1000 |
ELISA | 1/10000 |
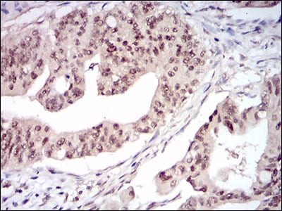
Product Image
- Black line: Control Antigen (100 ng); Purple line: Antigen(10ng); Blue line: Antigen (50 ng); Red line: Antigen (100 ng);
- Western blot analysis using IL2RA mouse mAb against Jurkat (1), Cos7 (2), HCT116 (3) and NTERA-2 (4) cell lysate.
- Immunohistochemical analysis of paraffin-embedded human rectum cancer tissues using DNMT1 mouse mAb with DAB staining.
For Reseach Only
Application Key:WB - Western Blot | IHC - Immunohistochemistry | ICC - Immunocytochemistry | FCM - Flow Cytometry | ELISA - Enzyme-linked Immunosorbent Assay | IP - Immunoprecipitation
#30541

相关产品


