提醒成功

搜索
Rabbit Polyclonal Antibody to CSF2
-
货号:
P30830 -
别名:
Granulocyte-macrophage colony-stimulating factor, GM-CSF, Colony-stimulating factor, CSF, Molgramostin, Sargramostim, CSF2, GMCSF -
应用:
WB,IHC-P,IF,FCM -
反应种属:
Human -
抗体类型:
Primary antibody -
Swissprot:
P04141 -
规格:
-
数量:
-+ -
说明书:
目录价¥1980

Rabbit Polyclonal Antibody to CSF2
Description |
---|
CSF2 is a cytokine that controls the production, differentiation, and function of granulocytes and macrophages. The active form of the protein is found extracellularly as a homodimer. This gene has been localized to a cluster of related genes at chromosome region 5q31, which is known to be associated with interstitial deletions in the 5q- syndrome and acute myelogenous leukemia. Other genes in the cluster include those encoding interleukins 4, 5, and 13. [provided by RefSeq]. |
Specification |
|
---|---|
Aliases | Granulocyte-macrophage colony-stimulating factor, GM-CSF, Colony-stimulating factor, CSF, Molgramostin, Sargramostim, CSF2, GMCSF |
Entrez GeneID | 1437 |
Swissprot | P04141 |
WB Predicted band size | 16.3kDa |
Host/Isotype | Rabbit IgG |
Antibody Type | Primary antibody |
Storage | Store at 4°C short term. Aliquot and store at -20°C long term. Avoid freeze/thaw cycles. |
Species Reactivity | Human |
Immunogen | This CSF2 antibody is generated from rabbits immunized with a KLH conjugated synthetic peptide between 59-85 amino acids from the Central region of human CSF2. |
Formulation | Purified antibody in PBS with 0.05% sodium azide. |
Application |
|
---|---|
WB | 1/1000 |
IHC | 1/100-1/500 |
IF/ICC | 1/10-1/50 |
FCM | 1/10-1/50 |
Product Image
- CSF2 Antibody (Center) (Cat. #P30830) western blot analysis in HL60 cell line lysates (35ug/lane).This demonstrates the CSF2 antibody detected the CSF2 protein (arrow).
- Confocal immunofluorescent analysis of CSF2 Antibody (Center) (Cat#P30830) with 293 cell followed by Alexa Fluor 488-conjugated goat anti-rabbit lgG (green). DAPI was used to stain the cell nuclear (blue).
- CSF2 Antibody (Center) (Cat. #P30830) flow cytometric analysis of HL-60 cells (right histogram) compared to a negative control cell (left histogram).FITC-conjugated goat-anti-rabbit secondary antibodies were used for the analysis.
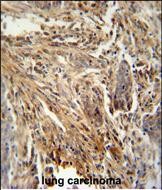
- CSF2 antibody (Center) (Cat. #P30830) immunohistochemistry analysis in formalin fixed and paraffin embedded human lung carcinoma followed by peroxidase conjugation of the secondary antibody and DAB staining. This data demonstrates the use of the CSF2 antibody (Center) for immunohistochemistry. Clinical relevance has not been evaluated.
For Reseach Only
Application Key:WB - Western Blot | IHC - Immunohistochemistry | ICC - Immunocytochemistry | FCM - Flow Cytometry | ELISA - Enzyme-linked Immunosorbent Assay | IP - Immunoprecipitation
#P30830

相关产品


