提醒成功

搜索
Rabbit Polyclonal Antibody to APCS
-
货号:
P30828 -
别名:
Serum amyloid P-component, SAP, 95S alpha-1-glycoprotein, Serum amyloid P-component(1-203), APCS, PTX2 -
应用:
WB,IHC-P -
反应种属:
Human -
抗体类型:
Primary antibody -
Swissprot:
P02743 -
规格:
-
数量:
-+ -
说明书:
目录价¥1980

Rabbit Polyclonal Antibody to APCS
Description |
---|
The protein encoded by this gene is a glycoprotein, belonging to the pentraxin family of proteins, which has a characteristic pentameric organization. These family members have considerable sequence homology which is thought to be the result of gene duplication. The binding of the encoded protein to proteins in the pathological amyloid cross-beta fold suggests its possible role as a chaperone. This protein is also thought to control the degradation of chromatin. It has been demonstrated that this protein binds to apoptotic cells at an early stage, which raises the possibility that it is involved in dealing with apoptotic cells in vivo. |
Specification |
|
---|---|
Aliases | Serum amyloid P-component, SAP, 95S alpha-1-glycoprotein, Serum amyloid P-component(1-203), APCS, PTX2 |
Entrez GeneID | 325 |
Swissprot | P02743 |
WB Predicted band size | 25.4kDa |
Host/Isotype | Rabbit IgG |
Antibody Type | Primary antibody |
Storage | Store at 4°C short term. Aliquot and store at -20°C long term. Avoid freeze/thaw cycles. |
Species Reactivity | Human |
Immunogen | This APCS antibody is generated from rabbits immunized with a KLH conjugated synthetic peptide between 151-178 amino acids from the C-terminal region of human APCS. |
Formulation | Purified antibody in PBS with 0.05% sodium azide. |
Application |
|
---|---|
WB | 1/1000 |
IHC | 1/100-1/500 |
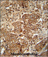
Product Image
- APCS Antibody (C-term) (Cat. #P30828) western blot analysis in K562 cell line lysates (35ug/lane).This demonstrates the APCS antibody detected the APCS protein (arrow).
- APCS antibody (C-term) (Cat. #P30828) immunohistochemistry analysis in formalin fixed and paraffin embedded human hepatocarcinoma followed by peroxidase conjugation of the secondary antibody and DAB staining. This data demonstrates the use of the APCS antibody (C-term) for immunohistochemistry. Clinical relevance has not been evaluated.
For Reseach Only
Application Key:WB - Western Blot | IHC - Immunohistochemistry | ICC - Immunocytochemistry | FCM - Flow Cytometry | ELISA - Enzyme-linked Immunosorbent Assay | IP - Immunoprecipitation
#P30828

相关产品


