提醒成功
搜索
Rabbit Polyclonal Antibody to TANK
-
货号:
P30773 -
别名:
TRAF family member-associated NF-kappa-B activator, TRAF-interacting protein, I-TRAF, TANK, ITRAF, TRAF2 -
应用:
WB,IHC-P,FCM -
反应种属:
Human -
抗体类型:
Primary antibody -
Swissprot:
Q92844 -
规格:
-
数量:
-+ -
说明书:
目录价¥1980
Rabbit Polyclonal Antibody to TANK
Specification |
|
|---|---|
| Aliases | TRAF family member-associated NF-kappa-B activator, TRAF-interacting protein, I-TRAF, TANK, ITRAF, TRAF2 |
| Entrez GeneID | 10010 |
| Swissprot | Q92844 |
| WB Predicted band size | 47.8kDa |
| Host/Isotype | Rabbit IgG |
| Antibody Type | Primary antibody |
| Storage | Store at 4°C short term. Aliquot and store at -20°C long term. Avoid freeze/thaw cycles. |
| Species Reactivity | Human |
| Immunogen | This TANK antibody is generated from rabbits immunized with a KLH conjugated synthetic peptide between 88-114 amino acids from the Central region of human TANK. |
| Formulation | Purified antibody in PBS with 0.05% sodium azide. |
Application |
|
|---|---|
| WB | 1/1000 |
| IHC | 1/100-1/500 |
| FCM | 1/10-1/50 |
Product Image
- TANK Antibody (Center) (Cat. #P30773) western blot analysis in WiDr cell line lysates (35ug/lane).This demonstrates the TANK antibody detected the TANK protein (arrow).
- TANK Antibody (Center) (Cat. #P30773) flow cytometric analysis of WiDr cells (right histogram) compared to a negative control cell (left histogram).FITC-conjugated goat-anti-rabbit secondary antibodies were used for the analysis.
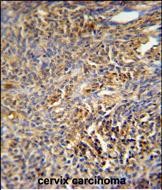
- TANK Antibody (Center) (Cat. #P30773) immunohistochemistry analysis in formalin fixed and paraffin embedded human cervix carcinoma followed by peroxidase conjugation of the secondary antibody and DAB staining. This data demonstrates the use of the TANK Antibody (Center) for immunohistochemistry. Clinical relevance has not been evaluated.
For Reseach Only
Application Key:WB - Western Blot | IHC - Immunohistochemistry | ICC - Immunocytochemistry | FCM - Flow Cytometry | ELISA - Enzyme-linked Immunosorbent Assay | IP - Immunoprecipitation
#P30773
相关产品

微信/QQ登录


首页
