提醒成功

搜索
Mouse Monoclonal Antibody to IL2RA
-
货号:
30522 -
别名:
CD25; IL2R; TCGFR; IDDM10 -
应用:
WB,IHC,IF -
反应种属:
Human,Mouse,Monkey,Rat -
抗体类型:
Primary antibody -
Swissprot:
P01589 -
规格:
-
数量:
-+ -
说明书:
目录价¥2180

Mouse Monoclonal Antibody to IL2RA
Description |
---|
The interleukin 2 (IL2) receptor alpha (IL2RA) and beta (IL2RB) chains, together with the common gamma chain (IL2RG), constitute the high-affinity IL2 receptor. Homodimeric alpha chains (IL2RA) result in low-affinity receptor, while homodimeric beta (IL2RB) chains produce a medium-affinity receptor. Normally an integral-membrane protein, soluble IL2RA has been isolated and determined to result from extracellular proteolyisis. Alternately-spliced IL2RA mRNAs have been isolated, but the significance of each is presently unknown. Mutations in this gene are associated with interleukin 2 receptor alpha deficiency. |
References |
---|
1. Ann Hematol. 2012 Oct;91(10):1597-602. 2. Transplant Proc. 2012 May;44(4):1139-42. |
Specification |
|
---|---|
Aliases | CD25; IL2R; TCGFR; IDDM10 |
Entrez GeneID | 3559 |
Swissprot | P01589 |
clone | 1B5D12 |
WB Predicted band size | 30.8kDa |
Host/Isotype | Mouse IgG1 |
Antibody Type | Primary antibody |
Storage | Store at 4°C short term. Aliquot and store at -20°C long term. Avoid freeze/thaw cycles. |
Species Reactivity | Human,Mouse,Monkey,Rat |
Immunogen | Purified recombinant fragment of human IL2RA (AA: 34-139) expressed in E. Coli. |
Formulation | Purified antibody in PBS with 0.05% sodium azide |
Application |
|
---|---|
WB | 1/500 - 1/2000 |
IHC | 1/200 - 1/1000 |
IF/ICC | 1/200 - 1/1000 |
ELISA | 1/10000 |
Product Image
- Black line: Control Antigen (100 ng); Purple line: Antigen(10ng); Blue line: Antigen (50 ng); Red line: Antigen (100 ng);
- Western blot analysis using IL2RA mouse mAb against Hela (1), MOLT4 (2), HEK293 (3), A549 (4), Jurkat (5), K562 (6), Cos7 (7), PC-12 (8) and NIH/3T3 (9) cell lysate.
- Immunofluorescence analysis of Hela cells using IL2RA mouse mAb (green). Blue: DRAQ5 fluorescent DNA dye.
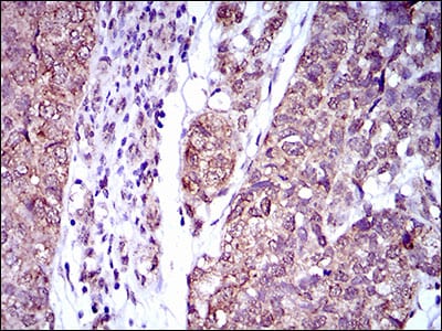
- Immunohistochemical analysis of paraffin-embedded human rectum cancer tissues using IL2RA mouse mAb with DAB staining.
- Immunohistochemical analysis of paraffin-embedded human bladder cancer tissues using IL2RA mouse mAb with DAB staining.
For Reseach Only
Application Key:WB - Western Blot | IHC - Immunohistochemistry | ICC - Immunocytochemistry | FCM - Flow Cytometry | ELISA - Enzyme-linked Immunosorbent Assay | IP - Immunoprecipitation
#30522

相关产品


